金杏病例丨1毫米的针眼“干掉”8厘米的囊肿!这技术你了解么?
34岁的徐先生患有甲状腺结节多年,今年2月起自觉颈部有个“鼓包”,并伴有不适感,于是来到了昆山市中医医院门诊就诊。
超声检查后发现徐先生颈部“鼓包”为甲状腺结节出血后改变。考虑到患者的年龄及明确拒绝手术的强烈要求,临床医生建议徐先生选择超声介入微创治疗。
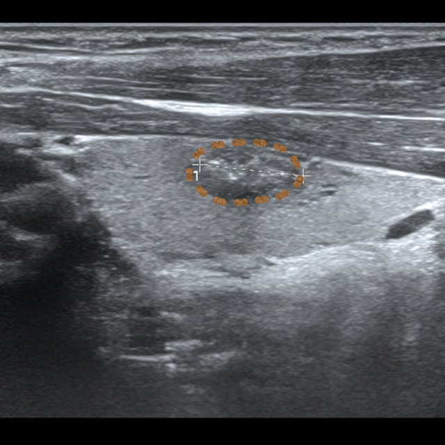
超声介入亚专科王晓明副主任医师对患者再次进行超声评估,确认患者颈部“鼓包”大小4*3*4cm,几乎为囊性,边缘伴有少许实性结构,适合超声引导下抽液硬化治疗,但谨慎起见,术前有必要对边缘实性结构进行细针穿刺细胞学检查,确认良性后方可行抽液硬化治疗。
▲超声引导下抽液硬化治疗
细胞学病理结果证实为良性后,超声介入团队王晓明副主任医师与朱帆主治医师通力合作,在超声实时引导下用一根1mm左右的细针对患者颈部“鼓包”进行精准穿刺,抽出暗红色液体30ml,部分送检行脱落细胞学检查。后用生理盐水对囊腔进行多次冲洗置换,直至冲洗液达清亮后抽出,注入聚桂醇(新型化学硬化剂)反复冲洗多次,静置5分钟后抽出囊液,此时囊液显示为酒红色,证明硬化效果比较好,最后再次注入聚桂醇后留置。
术后患者颈部仅有一针眼,即刻感觉颈部鼓包消失不见,自行步入留观室,当日即回家,未影响其生活和工作。
三个月后超声复查,颈部“鼓包”仅为一不足1cm结节,体积缩小率高达90%。患者徐先生对此非常满意!
▲治疗前
▲治疗后
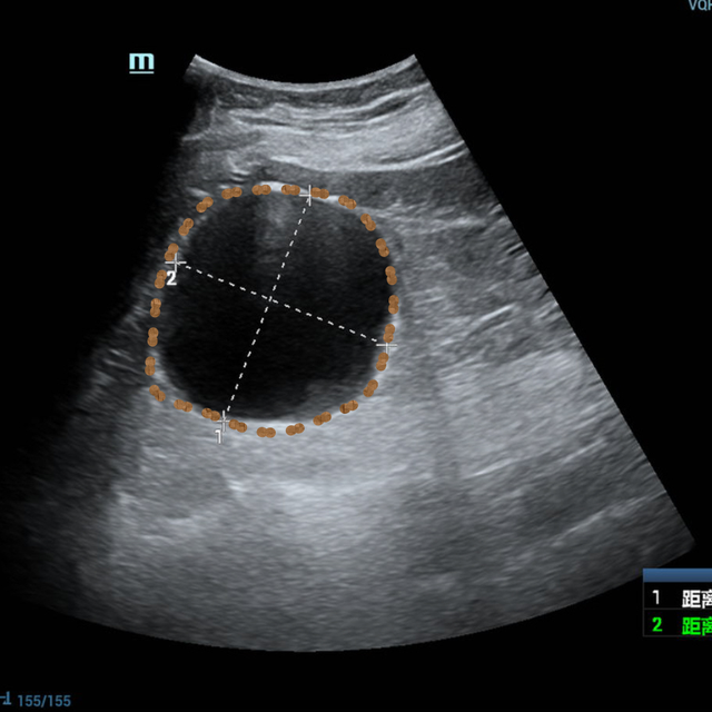
无独有偶,家住城东的赵老先生时感右腰酸胀,到附近医院检查后发现右肾有一个7.0*6.4cm的巨大囊肿,这成了老赵的一块心病。儿女们也为老父亲的囊肿四处求医,最后慕名来到昆山市中医医院超声介入门诊寻求帮助。
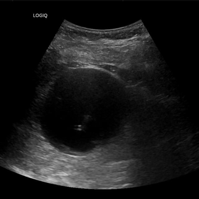
▲患者超声影像
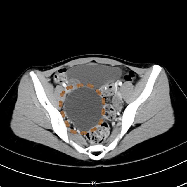
▲患者CT影像
超声介入张轶亮主治医师了解老赵的病情后立刻为其超声检查,发现右肾囊肿确实很大,已经压迫了周围肾组织。
考虑到老赵年事已高,行动不便,王晓明副主任医师当即电话联系泌尿外科,安排其住院,并行CTU(尿路造影)、血凝等术前常规检查,第二日在局部浸润麻醉下进行超声引导下肾囊肿穿刺抽液硬化治疗。
整个治疗过程不到30分钟。老赵下手术台后连连称赞现在的治疗技术真厉害,一点都没感到疼痛。术后观察24小时无明显不适即出院回家。
▲王晓明和张轶亮医师为患者行超声引导下肾囊肿穿刺抽液硬化治疗
一个月后,老赵复查发现右肾囊肿已经缩小到1cm以内,体积缩小率高达99%,老赵表示非常满意。
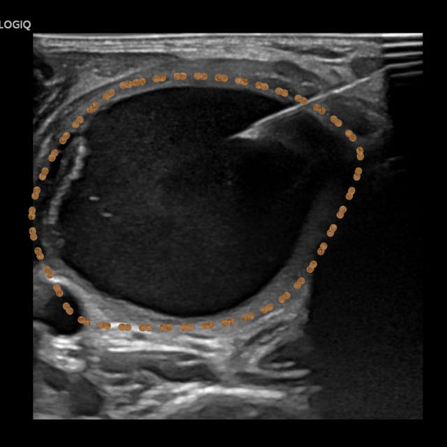
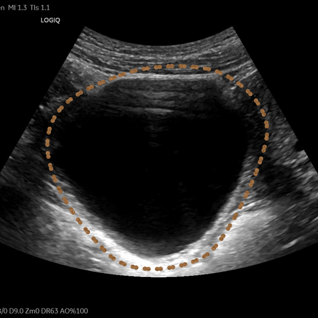
14岁女生小黄因小腹不适由母亲带至昆山市中医医院妇科就诊,超声检查后发现右附件区有一个8.0*7.2cm的巨大囊肿。由于正值初三备考的关键时期,如何解决囊肿还不能耽误复习迎考,这成了选择手术方式的关键点。
在医生和家属的再三沟通下,家属决定选择超声引导下介入治疗。
▲小黄的影像学检查
超声介入团队联合妇科对患者进行全面综合评估后,认为超声引导下抽液硬化治疗是其最佳选择。待一系列术前常规检查后,在局部浸润麻醉下进行囊肿穿刺抽液硬化治疗。
治疗过程中,利用一步法置入一根“6F的猪尾巴管”,共抽出淡黄色液体220ml,部分送检行脱落细胞学检查。后用生理盐水对囊腔进行多次冲洗达清亮后抽出,注入40ml聚桂醇反复冲洗后留置,隔日抽出囊液50ml,此时囊液显示为酒红色,证明硬化效果较好,继续留置2日待负压球内基本无引流液后拔管。
整个治疗过程顺利,患者无明显不适,未影响其正常复习迎考。三月后腹部超声检查,右附件区囊肿已完全吸收。
什么是囊肿?
囊肿来源于人体皮肤、皮下或脏器组织,多数囊肿无需治疗,如发现囊肿体积增大,伴有对周围组织器官的压迫症状,导致患者隐痛、胀痛或者脏器功能改变等情况,则需要及时治疗。相比传统的开放手术或腹腔镜下囊肿开窗术,超声引导下经皮穿刺囊肿硬化治疗技术,具有微创精准、疗效确切、高性价比的独特优势,已经得到了广泛的临床应用,成为目前临床首选的微创治疗方法。
那什么是超声引导下
囊肿抽液硬化治疗术
该治疗方法是通过超声精准引导下,将一根很细的穿刺针刺入囊肿,抽出囊液,用生理盐水冲洗后,注入聚桂醇硬化剂进行硬化治疗,因化学作用刺激囊壁,使囊壁内皮细胞变性、脱水、坏死,并产生无菌性炎症,纤维组织增生,从而使囊腔粘连、缩小、闭合,逐步吸收并消失。在保证手术安全和治疗效果的同时,能以最小损伤的微创方法,达到减少患者痛苦,改善囊肿引起的临床症状,恢复脏器形态与结构,同时最大限度保留脏器功能,达到不留瘢痕并且美容加速康复以及改善生活质量的治疗效果。
1、肝、肾囊肿:①肝、肾囊肿≥5 cm;②囊肿伴有出血及(或)感染者;③囊肿伴有压迫等症状者;④既往治疗后复发,伴有压迫症状或最大直径≥5 cm 者;⑤复杂性肝囊肿,肝包虫囊肿C0、C1型;⑥复杂性肾囊肿,CT 检查 Bosniak 分型I型、II型者;⑦多囊肝、多囊肾较大囊肿造成压迫症状者。
2、甲状腺囊肿:①超声提示良性的囊性结节或以囊性为主的囊实性结节(囊性部分>50%),最大直径≥2 cm;②行囊液脱落细胞学和实性部分细胞学检查,或术前组织学活检病理证实为良性结节;③具有结节相关疼痛、压追症状或(和)影响美容。
3、卵巢囊肿:卵巢单纯性囊肿、卵巢冠囊肿、卵巢子宫内膜异位囊肿等良性病变及盆腔包裹性积液等疾病。
市中医医院超声医学科
已常规开展的介入项目
-
甲状腺结节及引流淋巴结的细胞学穿刺术。
-
各种浅表肿块、肝、肺等实质脏器的组织学穿刺活检术。
-
胸腔积液、腹腔积液及各部位脓肿穿刺置管引流术。
-
肾盂造瘘术。
-
肝、肾、卵巢及甲状腺囊肿的穿刺抽液硬化治疗术。
-
甲状腺结节及肝转移瘤热消融术。
超声介入团队
中医献温馨·健康进万家
个人简介
苏州市医学会超声医学专业委员会青年委员;昆山市医学会超声专业委员会委员;昆山市超声专业质量控制中心成员。擅长心血管超声诊断及超声引导下介入穿刺与治疗。超声介入门诊:周一——周五上午
个人简介
曾在苏州大学附属第一医院超声医学科进修学习。擅长腹部、浅表器官超声诊断及超声引导下介入穿刺与治疗。超声介入门诊:周一——周五上午
个人简介
曾在上海交通大学附属瑞金医院超声医学科进修学习。擅长腹部、浅表器官超声诊断及超声引导下介入穿刺与治疗。超声介入门诊:周一——周五上午
参考文献
1、多脏器囊肿硬化治疗中国专家共识 (2021版)
2、中华介入超声学
来源:昆山市中医医院



























