金杏病例 丨反复鼻塞!鼻息肉?那可不一定
近日
耳鼻喉科门诊接诊了这样一位患者
老人家79岁
既往已有三次“鼻息肉”手术史
每次7~8年后都会复发
自诉近一月右侧鼻塞加重
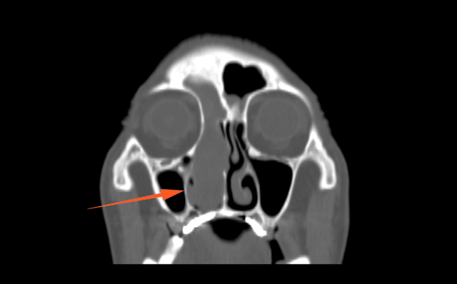
CT显示:右侧鼻腔及额窦、筛窦
又充满了软组织影
无法正常呼吸,伴头痛、嗅觉减退
于是来到了耳鼻喉科蒋锐主任门诊就诊
耳鼻喉科蒋锐主任仔细询问了病史,考虑到患者主诉已经做了三次“鼻息肉”手术了,但时间都过于久远,蒋锐主任专门调取了十余年前的病理报告,确实显示是“鼻息肉”,但是多次的复发不得不让人怀疑肿物并不是一个单纯的“鼻息肉”。
综合考虑后,蒋主任立即就给患者做了鼻内镜检查,并同时取了病理活检,内镜可见肿物已长满整个右侧鼻腔,伴少许黏稠鼻涕,已无通气空间,肿物表面呈白色荔枝肉样改变,乍一看确实很像“鼻息肉”。
翌日,病理活检报告提示:(右侧鼻腔)鼻息肉伴移行上皮增生及轻度不典型增生。
根据经验,这很有可能是一个伪装成“鼻息肉”的鼻腔内翻性乳头状瘤,之前多次病理提示“鼻息肉”可能与术中取材部位不准确有关。
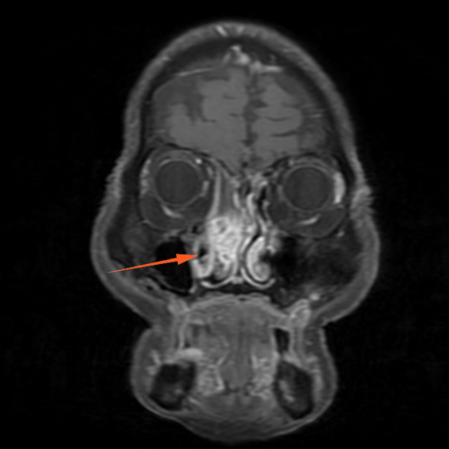
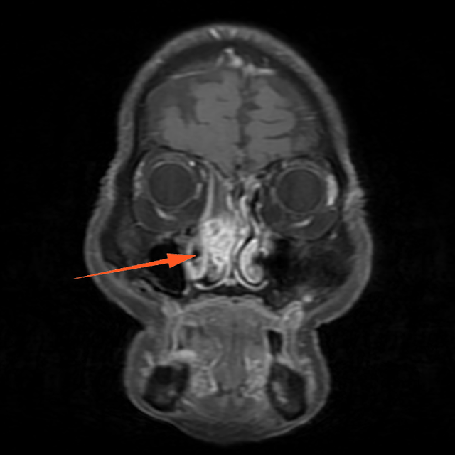
进一步增强MR显示:鼻腔右侧异常信号影,T1等信号,T2等高信号,DWI高信号,增强后周边强化为主。
蒋主任仔细阅读影像学图像,该患者的肿物在T2相有 “脑回征”,但又不典型,鼻窦骨质也没有明显的增生,肿物已经占满整个右侧额窦窦腔,好在患者额窦气化尚可,肿物未越过瞳孔中线,要彻底清除肿物,需要打开额窦,将窦内软组织完全清理干净并磨除基底部部分骨质再烧灼。
按照传统方式,需要行眉弓切口(沿眉毛下方至鼻根部切开皮肤),患者面部将遗留一道3—4cm长的疤痕,术后疼痛也较明显,综合考虑后蒋主任给患者选择了“经鼻鼻内镜下鼻腔鼻窦肿物切除+额窦开放根治术”。
术中通过鼻腔将额窦外的肿物完全清除,然后通过层层磨骨的方式,将上颌骨额突磨开,额窦前壁打开至2/3,去除额窦底壁,从而将窦内肿物完全暴露并彻底清除,首次完成了Draf Ⅱ型额窦开放术,术中作黏膜瓣保护上颌骨额突裸露骨质,并通过彻底电凝止血进行微填塞。
▲鼻腔术后内镜
术中多点取材,避免漏诊可能性,最终病理提示:呼吸上皮乳头状瘤,部分呈内翻性生长,部分呈外生性生长,合并原位鳞状细胞癌,局灶见间质浸润。
患者术后反应轻微,麻醉苏醒后即精神恢复良好,术后第二天换药见黏膜瓣在位良好,可以明显减少术后窦口挛缩再闭锁可能。
什么是鼻腔鼻窦内翻性乳头状瘤?
鼻腔鼻窦内翻性乳头状瘤是一种相对常见的良性肿瘤,约占鼻腔鼻窦乳头状瘤的70%,并且在全部鼻腔鼻窦肿瘤中占比约为0.5%~4%。
尽管它是一种良性肿瘤,但因其术后容易复发及存在恶变的可能性,使其与其他鼻腔鼻窦良性肿瘤有所不同。
目前,该肿瘤的确切病因尚不完全清楚。多数学者认为它是一种良性型的真性肿瘤。也有观点认为,人乳头状瘤病毒(HPV)与其发病有密切关系。此外,环境因素、病毒感染、炎症刺激等也可能导致肿瘤的发生。
流行病学研究显示,该肿瘤在人群中的患病率较低,男女比例大致在3:1至5:1之间,多见于中年男性(平均年龄约54岁)。患者常出现鼻塞、鼻内肿块、流涕(有时带血)、头面部疼痛和嗅觉异常等症状。随着肿瘤的增大和累及部位的增多,症状也会相应加重。
主要治疗方法是手术切除,目的是彻底切除病变以减少复发的可能性。虽然鼻腔鼻窦内翻性乳头状瘤是良性肿瘤,但其具有复发和恶变的倾向。如果反复发作,可能会恶变成鳞癌,本例患者就是多次手术后出现了恶变。然而,即使是鳞癌,经过规范化治疗,预后通常还是比较乐观的。
来源:昆山市中医医院



























