发现甲状腺肿大,再长10年会怎么样?
48岁的患者王女士
因“发现甲状腺肿大10余年”
曾于外院就诊
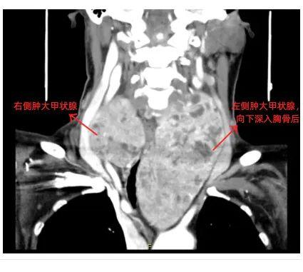
外院CT提示:
胸骨后甲状腺肿,气管压迫明显
王女士来到昆山市一医院就诊
甲状腺疾病诊疗中心
以甲状腺乳腺外科为牵头科室
联合内分泌科、超声医学科
核医学科、病理科等共同组成
按“病”不按“科”的全新就诊流程
既传承专科精细化发展
又整并“多对一”诊疗新模式
为甲状腺疾病患者
提供便捷、精准、高效的健康服务
该中心周沁主任医师团队
为王女士组织多学科讨论
经过麻醉科、心胸外科、重症医学科、
内分泌科等多专科共同制订治疗方案
术中见双侧甲状腺腺叶非常肿大
左侧腺叶约16cm*8cm
右侧腺叶约8cm*6cm
周围血管丰富
左侧甲状腺最下缘深达主动脉弓水平下缘
在麻醉科和手术室的配合协助下
成功将甲状腺巨大肿瘤进行了精准的切除
避免了王女士可能因胸骨切开
而带来的较大创伤
最后顺利的解决了困扰王女士十余年的病痛
术后第9天
王女士在甲乳外科医护团队的精心照护下
顺利出院
小贴士:
巨大甲状腺即B超下甲状腺结节直径≥8cm的甲状腺,常并发气管食管受压移位或变窄以及甲状腺对喉返神经推拉、移位。临床巨大甲状腺患者通常病程较长,肿物生长缓慢,一般都是出现压迫症状后才到医院就诊。巨大甲状腺增加了手术操作难度,且术后并发症多,尽早手术才是唯一正确的处理方法。
在此,昆山市一医院甲乳外科提醒广大市民:甲状腺的常规体检不能松懈,如发现甲状腺迅速增大,切忌掉以轻心,应当立即咨询专业医生,以免错过最佳治疗期。
来源:昆山市第一人民医院



























