“卡饭难咽”终有解,微创三切口解锁“生命路”
吃饭老是噎
总觉得饭卡在喉咙那儿
喝水也难受
晚上还经常咳嗽
2025年4月,家住昆山的苏先生(化名)因进食哽噎前来昆山市中医医院就诊。接诊医生初步问诊后,建议进一步行胃镜检查。
最终,经胃镜、病理报告及影像学评估,苏先生被确诊为局部晚期食管癌。
诊断突如其来
信任成为最坚实的起点
“原以为就是胃不舒服,没想到竟然是肿瘤。”突如其来的诊断,让苏先生一家陷入了焦虑与不安。
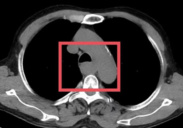
▲患者术前影像学检查
“先制后发”
术前治疗如何为手术加分?
面对肿瘤,不少患者会直观地认为“早点动手术”是最好的选择。但事实上,对于像苏先生这样的局部晚期患者而言,贸然手术可能风险更大,远期疗效也难以保障。
为了争取更大的根治机会,胸外科朱震主任医师为苏先生量身定制定了一套治疗方案——“免疫联合化疗”的新辅助治疗方案,先“软化”肿瘤、减少侵犯,再择期手术。治疗期间,苏先生接受了PD-1单抗与铂类+紫杉醇联合化疗。随着治疗推进,患者主诉症状显著缓解。2025年7月复查CT提示病灶缩小、边界清晰、与周围结构粘连减少,手术时机成熟。
朱震主任医师表示:“新辅助治疗不是拖延,而是主动出击,为的是让手术更安全、切除更彻底。”这份精准判断和前置干预,正是现代肿瘤综合治疗理念的体现,为后续高难度手术的顺利实施打下了坚实基础。
高阶微创
一场高难度手术的本地突围
2025年7月,在充分评估患者全身状况后,我院胸外团队为苏先生成功实施了“胸腔镜下颈胸腹三切口食管癌根治术”。这一术式是当前胸外科领域的高阶微创操作,需通过颈部、胸部、腹部三处切口,在胸腔镜辅助下完成肿瘤切除、淋巴结清扫与消化道重建,技术难度大、操作要求高。
此次手术,全程微创,出血量极少,无大血管损伤、无术中开胸、无外援参与,手术由朱震主任带领团队独立完成。从精准解剖、缝合吻合,到术中应变与全程掌控,每一环节都体现了团队深厚的技术积淀。这不仅是苏先生从“难以下咽”到“重获新生”的转折点,更是医院胸外科在复杂微创领域持续突破的生动写照。
术后,苏先生康复进展顺利,未出现肺部感染、吻合口瘘等并发症。最令人振奋的是,术后病理结果提示:肿瘤区域未见残留癌细胞,达到“病理完全缓解(pCR)”标准!这意味着,新辅助治疗获得高度成功,同时也为患者带来更佳的长期预后!
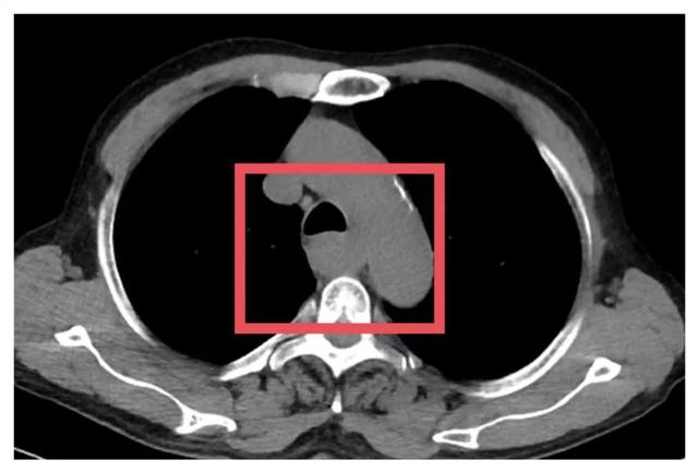
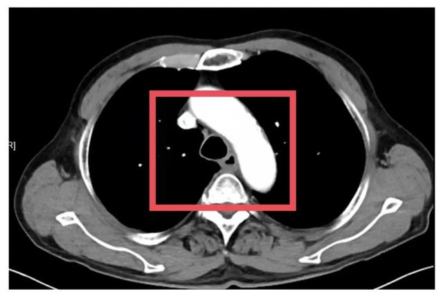
▲患者术前、术后影像对比
技术底气从何来?
厚积薄发,我们敢接也稳得住
“很多患者以为这类高难度手术只有在大城市医院才能做,事实上,我们早已在本地独立完成了诸多类似高难度手术,pCR也不是第一次。”朱震主任医师坦言,团队多年稳扎稳打,已将胸腔镜技术常态化、标准化,且不断拓展更高阶难度的复杂术式。
苏先生的成功,正是源于团队术前评估精准、治疗路径科学、术中操作精细、术后管理高效的闭环式综合治疗体系。这份“底气”,来自于持之以恒的技术积累和团队协作。
写在最后
初心在肩 步履不停
“我们不是为了‘证明自己能独立完成’,而是真心希望更多患者知道——在本地,也能接受与大城市医院同步的规范化治疗,完成高难度手术。让患者放心地留在家门口,把病看好,是我们不断努力、持续进步的初心和方向。在这条通往‘放心就医’的路上,我们愿做那份‘敢接,也接得住’的专业担当。用一台台扎实的手术、一次次安心的康复,回应来自患者最真实的信任与托付。”朱主任的话,道出了团队不断进取向上的心声。
知识点链接
什么是“病理完全缓解(pCR)”?
pCR是指患者经过术前新辅助治疗(如免疫、化疗)后,手术标本病理检查未发现残留的活性癌细胞,仅见坏死或纤维化组织。它通常代表术前治疗非常有效,是肿瘤患者预后良好的一个重要指标。常见于食管癌、胃癌、乳腺癌等新辅助治疗敏感肿瘤。
实现pCR不仅意味着患者肿瘤负荷大幅减少,也大幅降低了术后复发的风险。对于晚期食管癌患者来说,这是一份来之不易的“零肿瘤”成果!
中医献温馨·健康进万家
个人简介
硕士研究生
中国老年医学学会委员
江苏省老年学会委员
苏州医学会胸外科委员
苏州市中西医结合学会委员
擅长胸外科的各类疾病的诊断和治疗。尤其肺结节,食道,纵膈等疾病的微创手术。
历史回眸
我院胸外科创建于2000年,最早归属于肿瘤外科,是昆山地区率先开展胸部疾病外科治疗的科室之一。经过数十年来的不懈努力,科室专业发展与时俱进,临床专业化诊治水平跃居领先。目前,已发展成为集医疗、教学、科研为一体的专业化科室,是昆山市胸部疾病综合治疗的一线科室。
科室现状与人才梯队
科室现有专业医护人员20余名,其中医生6名,高级职称2名,硕博研究生6名。科室人才梯队合理,是一支后备力量雄厚、不断求实、追求创新的团队。科室始终坚持“以病人为中心,医疗质量为核心”的服务理念,崇尚德高医粹、尚新至善,将先进的诊疗技术与人文关怀相结合,采取个体化、规范化的综合治疗措施,推广加速康复外科临床实践。
医疗工作能力
科室开设肺结节门诊、胸外科门诊。年门诊量14000余人次,年手术量500余人次。胸外科紧跟现代医学发展前沿,以实干笃定前行,已成熟开展了高质量的胸外科疾病的诊断及治疗工作和各项专科特色高新技术。目前,科室常规开展胸腔镜下肺结节、胸壁肿瘤、纵隔及食管良恶性肿瘤手术、肺大疱切除术,CT引导下肺肿瘤微波消融术以及肺癌、食道癌等胸部肿瘤的规范性综合治疗。在急重症领域,胸外科承担着全院胸部创伤和胸外急重症救治的任务,临床救治水平一流。由上海市政府和昆山市政府牵头,现已成立上海市胸科医院-昆山市中医医院胸部诊疗中心,设有上海胸科医院专家每周坐诊、手术、远程会诊、优先转诊等服务。
来源:昆山市中医医院



























