一只河虾从嗓子眼直往下冲……医生紧急“捉虾”
气道里误入食物的情况很常见,尤其是当人们狼吞虎咽时,误入气道的食物瞬间阻塞呼吸道,引发窒息危机。儿童和老人因吞咽功能较弱,更容易发生类似意外。
近期,杨先生在午餐时,突然剧烈咳嗽……在昆山市第一人民医院呼吸与危重症医学科团队的帮助下,从杨先生的气道内取出一只完整的河虾,随之解除其气道刺激性呛咳的症状。本是一顿美餐,差点酿成大祸。
 
“食”客的疏忽
 
杨先生用餐时,不小心将一只河虾误吸入气道,虾从嗓子眼直往下冲,一股刺痛感瞬间袭来,仿佛有根细针在喉间搅动,进而他开始剧烈呛咳。
 
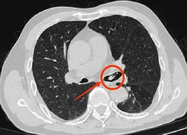
胸部CT显示,河虾已经下滑并卡在左主支气管管口。
 
气管是身体吸入空气的专属通道,一旦被食物或其他异物堵塞,后果极其凶险。气管被部分堵塞会出现反复咳嗽,未及时取出异物可能导致反复肺炎、肺脓肿;气管被异物完全堵塞,意味着气体无法进入下呼吸道,导致窒息,短短几分钟即可致命。
 
杨先生的的情况紧急。
 
有“镜”无险
 
呼吸与危重症医学科副主任李涛立即安排支气管镜检查,在纤细的镜管探入下,只见那只虾顽固地嵌在支气管管口,周围黏膜已微微红肿。李涛屏息凝神,用微型钳子轻柔夹取至咽喉部,这只“误入歧途”的河虾经杨先生口中咳出。
 
杨先生喉间的刺痛感消退,呛咳也逐渐停止。
 
回忆起这个惊险的经历,杨先生仍心有余悸。医护人员提醒,进食务必专注细嚼,须“食”刻警惕,以防类似险情重演。
 
 
Q1
 
气管内常见异物有哪些?
 
 
食物类
 
鱼刺、鸡鸭骨碎片、大块肉(尤其是肥肉、筋多的肉)、坚果、带核水果(如枣核)、黏性食物(年糕、汤圆)、虾蟹(常见且危险!)。
 
非食物类
 
松动脱落的假牙或假牙部件、未咽下的药片/胶囊。
 
危险时刻
 
吃饭时说话、大笑、注意力不集中(如看电视)、匆忙进食、仰头服药。
 
 
 
Q2
 
气道异物的临床表现有哪些?
 
 
反复咳嗽、喉鸣、气促,甚至呼吸困难等。
 
 
 
Q3
 
用餐时,突然发生食物误入气管导致呼吸困难,该怎么办?
 
 
如果进食中,突然出现呛咳、无法咳嗽、呕吐、不能发音、憋气、脸色发紫等窒息症状,应立即实施海姆立克急救法,并尽快呼叫专业救护人员。
 
海姆立克急救法要点可以通过“剪刀、石头、布”口诀来记忆:
 
剪刀
 
施救者呈弓步状,前脚置于堵塞者两脚之间,双手从后腰环抱患者,两根手指并拢,像一个闭合的剪刀,放在肚脐上方2横指位置,即按压点。
 
石头
 
紧握拳头,用拳眼顶住刚刚找到的位置。
 
布
 
把另一只剪刀手撤出来,手掌包住拳头。然后用力反复用力冲击腹部,直到将异物排出。
 
 如果自己独自进食,出现这种情况,找不到其他人救助,我们也可以寻找借力物体(比如桌边、椅背等)自救。
 
 
Q4
 
什么是气管镜取异物?
 
 
气管镜是一种带有光源和摄像头的细长管道,通过鼻腔或口腔进入气道,医生可直观观察气管、支气管内的异物,并通过器械将其取出。
 
气管镜下取异物是目前治疗气管异物的主要微创手段,适用于急救处理(如海姆立克法)无效或异物较大、位置较深的情况,是挽救生命的关键技术。
 
 
 
Q5
 
如何预防气管异物?
 
 
1.“食”刻警惕
 
专注进食:吃饭时不说话、不笑闹、不看电视,专心咀嚼吞咽。
 
细嚼慢咽:食物(尤其是肉类、带刺带壳水产)务必充分嚼碎。
 
姿势正确:坐直身体进食,避免仰头或躺着吃。
 
2.安全服药
 
用温水送服,服药时坐直,不要干吞或仰头猛灌。吞咽困难者可咨询医生选用液体制剂或研碎(注意某些肠溶片/缓释片不可研碎)。
 
 
3.家人关注
 
留意老人进食情况,发现频繁呛咳、不明原因咳嗽或肺炎,应主动告知医生有无呛咳史。
 
 
4.学习急救
 
应掌握海姆立克急救法(针对清醒成人)和心肺复苏(CPR)技能,以备不时之需。
 
 
作者简介
 
钟恩健
 
主治医师
 
医学硕士
 
擅长:呼吸内科常见病诊治,胸腔积液、肺部感染、支气管哮喘、肺恶性肿瘤的治疗
 
 
审核专家简介
 
李  涛
 
主任医师
 
科副主任(主持工作)
 
中国医药教育协会肺部肿瘤专委会委员,江苏省医学会呼吸病学分会基层学组委员,江苏省免疫学会感染免疫专委会委员等
 
擅长:肺癌的诊断和全程管理、呼吸系统危重症及疑难病等,精通呼吸内镜下各种介入诊疗技术:EBUS-TBNA、热消融术、冷冻治疗、球囊扩张、支架置入术、内科胸腔镜等。
 
 
来源:昆山市第一人民医院



























