昆山市一医院神经外科成功切除颅内功能区巨大脑膜瘤
头痛半年,居然是脑袋里长了瘤
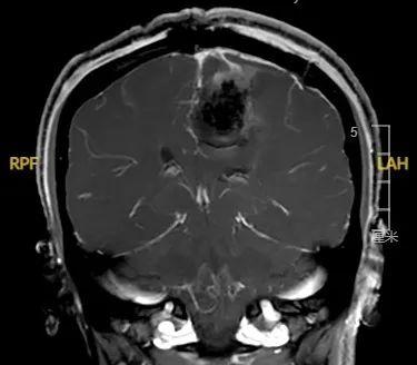
手术前
手术后
脑瘤体积大,手术难度高
摘除“炸弹”,回归家庭
昆山市第一人民医院
神经外科
勇于创新 精益求精
昆山市第一人民医院神经外科创建于1980年,逐步发展壮大后独立成科,2007年成为昆山市临床重点专科。科室设置标准病区床位45张;有主任医师5名、副主任医师5人、主治医师2名;博导1人、硕导4人;博士4名,硕士9名。
科室熟练开展显微神经外科技术和神经内镜微创手术,完成听神经瘤、垂体瘤、颅内动脉瘤夹闭等手术,开展神经介入手术如动脉瘤栓塞术等,在重型颅脑损伤救治方面积累丰富经验。
2010年,科室获医院首个国家自然科学基金资助项目(简称国自然)截至目前,共获国自然项目5项,中国博士后科学基金项目2项,江苏省级、江苏大学和苏州市级课题多项。近5年以第一作者/通讯作者或参与发表SCI论文62篇。科室承担江苏大学、南京医科大学、中国医科大学研究生、本科生等培养工作。
科室于2005年与上海华山医院开展技术联盟合作,逐渐建立与江苏省人民医院、苏大附一院神经外科的合作,为市民提供优质医疗服务。
神经外科门诊安排
周一:张曙光主任医师
周二:杨鉴主任医师、程峰副主任医师
周三:石磊主任医师、何豹主治医师
周四:周金方主任医师 贡伟一副主任医师
周五:潘天鸿主任医师
周六:王文明主任医师 刘华副主任
周日;李晓良副主任医师
来源:昆山市第一人民医院



























