昆山中医院转化治疗胃癌“倒退”生长,手术重获新生!
2023年入春时节
老王感上腹胀满
入夏伊始
饱胀感再发且加重
出现进食哽咽及呕吐症状
儿子急忙将老王送至我院胃肠外科门诊
杨逸主治医师接诊后
综合患者年龄等一般情况
结合病史考虑上消化道梗阻
占位性疾病可能大
即刻安排老王入院诊治
噩耗传来,老王确诊胃底腺癌,肿瘤进展累及胃食管结合部和食管下段,侵犯主动脉、腹腔干等血管,若立即手术,无法到达肿瘤R0切除,肿瘤残留短期内局部复发,影响患者预后。
肿瘤R0切除标准一般是指完整切除肿瘤,且镜下切缘为阴性,即无肿瘤残留。
化不可能为可能,为根治性手术创造条件!
肿瘤外科陈海军主任对老王的病情进行全面评估,并组织MDT(多学科联合会诊)讨论,决定对患者进行新辅助化疗,以期缩小瘤体、松解与主要血管间的侵咬,为根治性手术创造条件。
虽说是一项成熟的转化治疗手段,但先化疗、后手术,且手术机会因化疗效果而异,存在诸多不确定性,同时化疗副反应以及医疗经济负担,对患者和家属,这将是一个艰难的、充满未知的过程。经过与患方反复多次沟通病情,最终得到了患者及家属的认可,老王开始了计划6周的转化治疗。
长期的疾病折磨致使老王消瘦,营养不佳,化疗的副反、家庭的贫寒及肿瘤疾病的事实,反复折磨着老王,几乎摧毁了他的躯体和精神。
两程化疗后,瘤体未见明显退缩,距离根治机会相差甚远,老王多次表示要停止治疗返回老家等待生命终结,在陈主任和杨医生的一再劝慰、鼓励以及他儿女的坚定支持下,老王最终迎来了重生的曙光。第五次化疗后,老王的肿瘤终于出现了明显退缩,将原先侵犯的血管退出了瘤体,手术时机成熟。
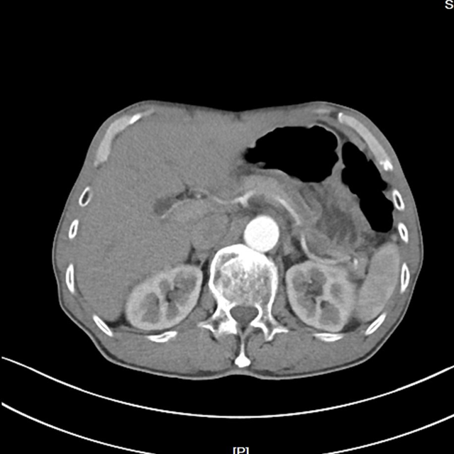
▲新辅助治疗前
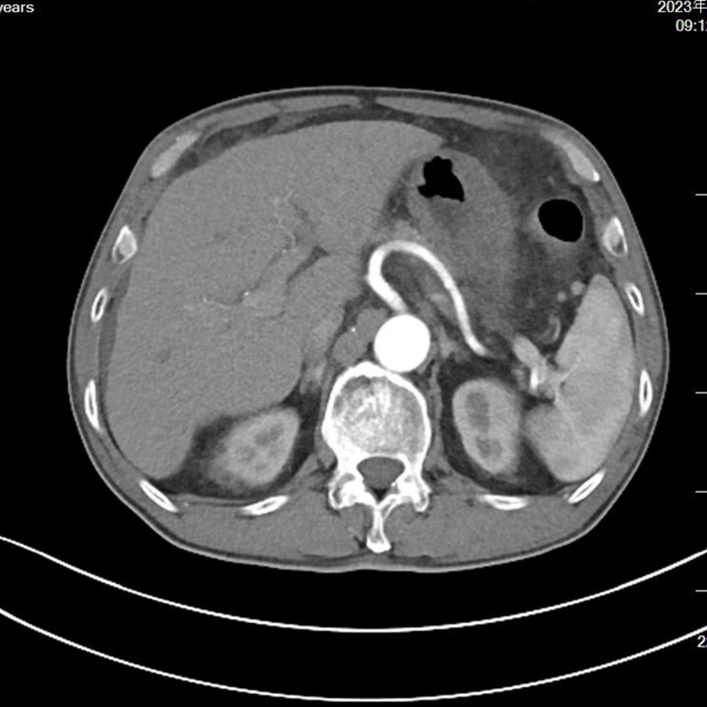
▲新辅助治疗后
经过完善的围手术期准备,陈海军主任带领杨逸主治医师、曹惠华住院医师为老王实施了手术。近两个半小时的紧张手术,肿瘤被完整切除达到预期的根治效果。
术后恢复过程顺利,感受到身体日渐康复的变化,老王和他的家属脸上终于洋溢出久违的笑意,也对肿瘤外科全体医护人员表示最真挚的感谢。
持续探索胃癌新辅助治疗!
陈海军主任表示,目前,大肠癌转化治疗已十分成熟,效果确切。而胃癌的转化治疗,仍处于探索中,新辅助治疗的转化成功率、转化后手术操作难度、术后并发症发生率以及患者新辅助治疗耐受性等都不像大肠癌那样令人“轻松愉悦”。
尽管转化治疗的道路荆棘丛生,但是我们坚信,以诊疗规范为指引,以扎实理论基础和精湛手术技艺为武器,以患者及家属的信任和支持为后盾,我们必能在密林里披荆斩棘,创造新生的曙光。医患携手,山河共赴。
市中医医院肿瘤外科(外二科)简介
历史回眸
肿瘤外科(外二科)成立于2000年,2010年建设成为昆山市重点专科,2016年建设成为江苏省中医重点临床专科。二十多年来,始终坚持“肿瘤外科诊治为核心,微创化治疗为方向”的专科发展理念,作为我院胃肠道疾病的核心手术科室,以胃癌、大肠癌为优势病种。以“胃肠道恶性肿瘤代谢调控关键机制研究”获得2023年江苏省医学科技二等奖。
科室现状与人才梯队
科室技术力量雄厚,医疗梯队结构合理,医师11人其中主任医师3人,副主任医师4人,博士2人,硕士5人。科室致力于管理创新和科技创新,治疗方法科学,学科特色鲜明。针对胃肠道开展多学科综合治疗(MDT)模式,应用现代医学技术及中医特色方法综合治疗,目前肿瘤治疗效果已达到国内先进水平。
医疗工作能力
肿瘤外科(外二科)年门诊量约20000人次,年手术量1400余例。科室关注胃肠道肿瘤的早期诊断和筛查及规范化治疗,除常规开展开腹、腹腔镜下胃肠道肿瘤根治手术及常见普外科疾病微创治疗,还积极开展腹腔镜下保功能胃切除术、大肠癌自然腔隙手术等多项外科新技术。科室共有15项市级科研课题及1项省级课题,多次荣获苏州科技进步二等奖和昆山市科技进步奖,发表论文数十篇。长期与国内知名医院开展学术交流和医师联合培养。
来源:昆山市中医医院




























