昆山市一医院鼻内镜下成功切除颅底恶性肿瘤
近日,昆山市一医院耳鼻咽喉头颈外科应用鼻内镜手术为一名患者成功切除颅底恶性肿瘤,患者获得快速康复。
面部胀痛,原来是鼻腔内长了肿瘤
位置隐蔽,采用鼻内镜微创手术
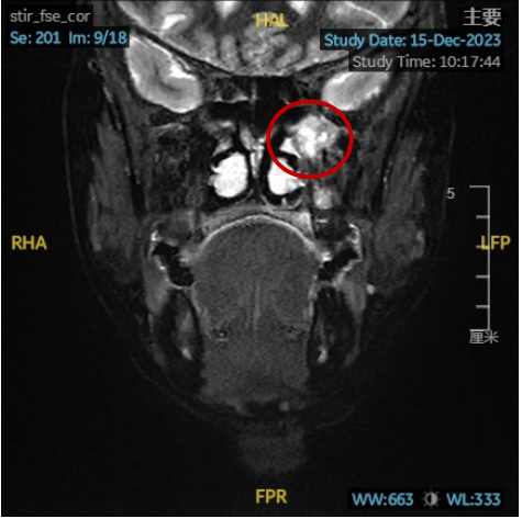
术前
术后
排除万难,成功切除颅底肿瘤
昆山市第一人民医院
耳鼻咽喉头颈外科
昆山市第一人民医院耳鼻咽喉科建立于上世纪50年代,独立建科于1983年,2021年更名为耳鼻咽喉头颈外科。科室现拥有医师17名,听力技师2名,其中主任医师3名,副主任医师5名,开放床位40张。
学科带头人邓建华主任,主任医师,硕士研究生导师,科室下设三个亚专科:耳科学组、鼻科学组、咽喉头颈肿瘤学组。耳科学组又分为耳外科学组和耳内科学组。
耳科学组开展了慢性中耳炎、神经麻痹(面瘫)、先天性或后天性外耳道狭窄或闭锁、耳部及颞下窝恶性肿瘤、耳源性眩晕、前庭功能疾患、突发性耳聋等手术及内科治疗。
鼻科学组常规开展了鼻腔鼻窦微创手术,如慢性鼻窦炎、鼻息肉、鼻腔鼻窦良恶性肿瘤、鼻中隔偏曲、鼻出血等的手术治疗。鼻腔与颅内、眼眶、口腔的解剖结构毗邻,交通复杂,近年来,鼻内镜下前、中颅底肿瘤切除手术逐渐成熟,此外还开展了先进的鼻眼相关手术:如鼻内镜下鼻腔泪囊吻合、经鼻腔眶内减压术、视神经减压术等。2023年成功开展的鼻内镜下鼻-颅底交通性肿瘤切除及颅底修复重建技术达到省内先进水平。
咽喉头颈肿瘤学组通过各型手术系统,成熟开展咽喉部各型显微及微创手术,治疗早期喉良恶性肿瘤、喉癌前病变、声带小结、声带息肉、腺样体及扁桃体等离子射频消融术、悬雍垂腭咽成形术、腮腺、颌下腺、甲状腺肿瘤手术、咽旁间隙肿瘤手术等。
科室注重科、教、研、临床并重的指导思想,全科人员积极参加国内外学术会议,掌握新技术进展并积极应用于临床治疗之中。
门诊便民信息
来源:昆山市第一人民医院




























