肺结节随访过程中逐渐长大!昆山市一医院这样“消融”肺磨玻璃结节
近日,昆山市一医院介入治疗科为一位肺磨玻璃结节患者行微波消融术,术后2小时患者下床正常活动,一周后患者顺利出院。
此前,医院微信公众号介绍肺结节的微波消融术,受到很多市民关注,借以此篇详细介绍该治疗过程。
体检发现肺结节,随访过程中逐渐长大
王女士(化名),两年前体检发现有肺磨玻璃结节,医生建议她规律复查胸部CT观察病灶变化情况。
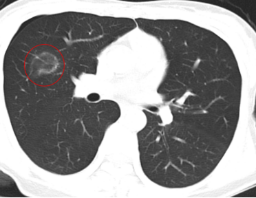
图中红圈内为该患者肺磨玻璃病灶
半个月前,她复查胸部CT发现肺内结节较前增大,进一步做了PET-CT检查,考虑原位或微浸润癌可能大。
王女士经过考虑,决定在市一医院接受微创消融手术治疗。
位置特殊,术前精密规划穿刺路线
介入治疗科团队在王女士入院后认真评估患者病情,考虑到患者肺磨玻璃结节位于右肺叶间裂附近,且病灶周围血管较多,术中容易引起气胸、出血等并发症。
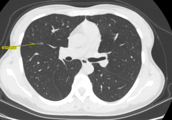
图中黄色箭头为术前模拟规划的穿刺路线
医疗组在术前的CT图像上多角度反复模拟穿刺,经过科室讨论后最终确定了理想的穿刺进针路线,为手术提供了参考方案。
术中精准穿刺,微波消融毁损病灶
经过周密的术前准备,王女士在局部麻醉下接受了微波消融术。
术中医生先按照术前既定的穿刺路线通过麻醉针进行定位,然后引入微波消融针精准穿刺到磨玻璃结节病灶,消融3分钟后可见原磨玻璃结节完全被椭圆形热消融带所包裹,提示手术成功,病灶被“热损毁”。
术中穿刺针精准穿刺磨玻璃结节病灶
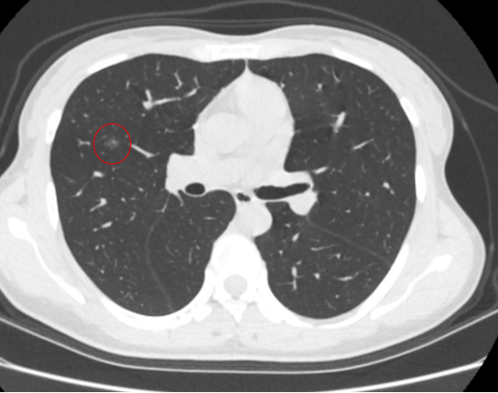
图中红圈内提示术后热消融区完全覆盖原病灶
整个手术过程中王女士无明显不适,术后2小时即可下床正常活动,现已康复出院。
介入治疗(肺结节消融)门诊
来源:昆山市第一人民医院



























