昆山中医院神经外科脊髓电刺激:唤醒意识障碍者的曙光
近年来的研究表明,脊髓电刺激可能成为治疗意识障碍的一种新方法。通过在脊髓水平上对神经传导通路进行电刺激,可以调节大脑皮层活动,改善患者的意识水平。这种治疗方法的非侵入性和可调节性使其具有很高的潜力。
近两年来在北京天坛医院何江弘主任团队的引领下,SCS(脊髓电刺激)治疗DoC(意识障碍)患者逐渐开始应用,其有费用低,介入时机早,微创等优势。
随着科学技术的不断进步和临床实践的积累,昆山市中医医院神经外科功能神经亚专科紧跟前沿,在昆山地区率先开展SCS(脊髓电刺激),不断优化治疗方案,为患者带来更多希望。对于那些深受意识障碍困扰的患者和他们的家人来说,脊髓电刺激可能是一种新的曙光,为他们重拾意识、恢复生活带来新的可能性。
意识障碍(disorders of consciousness,DoC)
是指各种严重脑损伤导致的意识丧失状态,如昏迷、植物状态(vegetative state,VS) 和微意识状态(minimally conscious state,MCS)。
意识障碍是一种复杂的神经系统紊乱,可能由于多种因素引起,如创伤性脑损伤、脑出血、脑肿瘤等由于大面积的丘脑、皮层神经元的永久性坏死及丘脑皮质网络的长程连接广泛地断开,这些情况可能导致患者的意识水平下降,表现为昏迷、嗜睡、意识模糊等症状,严重影响了患者的生活质量和康复进程。DoC(意识障碍)的治疗一直是难以突破的重大瓶颈问题。
2个月前患者
张阿姨因车祸致头、颈、胸部等处外伤
伤后神志昏迷,恶心、呕吐数次
急送至昆山市中医医院就诊
气管插管呼吸机辅助通气状态
四肢刺痛弯曲
双侧瞳孔缩小,直径1.0mm
对光反应消失
口角无歪斜,伸舌不配合
GCS评分=E1VTM2=3T分
查CT提示:左顶部皮下血肿,右额顶颞部、左额颞部硬膜下血肿(SAH);两肺条片影,两侧胸膜反应,左侧多发肋骨骨折。
急诊以“全身多发伤”收入神经外科,经过神经外科团队的全力抢救,急诊行开颅血肿清除+去骨瓣减压术,术后以对症治疗6周,患者生命体征逐渐平稳,但患者的意识水平未见改善,持续昏迷。
GCS评分:即格拉斯哥昏迷评分法(Glasgow Coma Scale),是一种用于评估患者昏迷程度的方法。
权衡利弊最优解!
完善相应检查后再次与家属沟通病情,告知患者目前确处于昏迷状态,但并不代表患者一定不能苏醒。可尝试通过st-SCS(短时程脊髓电刺激)来帮助患者改善意识水平。
家属理解病情并有较强的手术意向,予以完善术前准备,经讨论后决定为患者进行脊髓神经电刺激植入术。
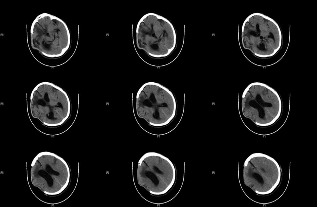
▲SCS(脊髓电刺激)术前,复查头颅CT:血肿已吸收
在王文华主任的指导下陈龙主任医师和陆维主治医师成功对该患者开展了脊髓神经电刺激植入术。
▲ST-SCS术后CT:电极位置良好
术后复查CT电极位置良好,1天后开始刺激,频率70Hz,脉宽120,电压1.5V,循环模式:15min on/15min off,工作时间8am-8pm。定期进行CRS-R评分。
患者意识状态有所好转,GCS评分=E4VTM5=9T分,CRS评分:16分(听觉:3分,视觉:3分,运动:5分,言语反应:1分,交流:1分,唤醒度:3分)。
什么是脊髓电刺激
(Spinal Cord Stimulation, SCS)
目前已较为明确SCS(脊髓电刺激)对昏迷促醒是有效的,SCS(脊髓电刺激)通过手术放置刺激电极在颈髓C2-C4水平硬膜外正中部,电刺激通过上行性网状结构激活系统及丘脑下部激活系统传达到大脑皮层。ST-SCS(短时程脊髓电刺激)优点显而易见:微创、价格适宜以及早期干预。
SCS(脊髓电刺激)作为一种创新的治疗手段,近年来在神经学和康复医学领域备受关注。它通过电脉冲刺激脊髓神经传导通路,以调节疼痛信号传递为主要机制,被广泛应用于治疗慢性疼痛等症状。然而,其在治疗意识障碍方面的应用逐渐受到关注。
“昆中医神经外科”的奋斗之路
1、2013年率先开展脑动脉瘤的外科治疗,为破裂动脉瘤患者争取了宝贵的抢救时间,昆山地区脑血管救治水平更上台阶;
2、2018年率先开展烟雾病的外科治疗,填补了昆山市的技术空白,目前科室经过五年的沉淀,该技术已日渐成熟,截止目前成功治疗数十例患者,无一例存在术后并发症;
3、2018年底率先开展脑动脉瘤、动静脉畸形的微创介入诊疗技术,在昆山地区率先进行临床应用和推广;
4、2018年率先开展神经内镜下微创治疗脑内血肿/脑室血肿,尤其新院区启用后复合手术室的应用,大大降低了手术风险,提高了我市脑出血急救水平;
5、2019年在上级医院的帮助下成功开展颈内动脉剥脱术,填补昆山地区颈内动脉狭窄外科治疗的空白。
6、2023年成功开展颅内神经刺激器植入术(DBS手术)并“开机”,填补昆山地区帕金森治疗的空白。
7、2024年2月在昆山地区率先开展SCS(脊髓电刺激)为意识障碍患者带来了新希望。
昆山市中医医院神经外科简介
历史回眸
昆山市中医医院神经外科为苏州市级临床重点专科,始建于上世纪九十年代,历经二十余年的沉淀与积累,目前科室发展成为全面诊治神经系统疾病常见疾病和疑难危重症的一线临床科室。
自2013年科室开展动脉瘤夹闭手术以来,科室不断精进以颅内动脉瘤为代表脑血管疾病的诊疗,目前已诊治颅内动脉瘤约500余例,2017年12月以来朱胜强主任医师等多人陆续完成神经介入技术的进修培训与获得执业资质,并成功在昆山地区率先开展神经介入治疗颅内动脉瘤微创手术,目前积累诊疗病例170余例。2022年11月医院完成西部医疗中心搬迁工作,神经外科也迎来了更大发展机遇与挑战。
科室现状与人才梯队
科室现有专业医护人员40名,其中医生15名,护士25名。主任医师3名、副主任医师2名、国家认证专科医师3人、硕博8名。以中青年骨干医生为主,具有较强的临床实践能力和科教研能力。
医疗工作能力
科室年收治病人800余人次,年手术量300余台。科室拥有复合手术室,荧光显微镜、STORZ神经内镜、神经导航、术中电生理、术中CT、CUSA系统等专科高端设备。能够常规开展神经外科各级手术,包括:各类脑肿瘤手术(神经胶质瘤、脑膜瘤、听神经瘤等)、脑血管病手术(动脉瘤夹闭术、烟雾病搭桥术、颈内动脉剥脱术等)、功能性疾病手术(面神经、三叉神经微血管减压术等)及常规脑出血、颅脑损伤手术。特色开展多种微创手术,如显微镜、神经内镜下经鼻垂体瘤切除术、脑动脉瘤栓塞术、YL-1微创穿刺引流术等。科室在精于西医技术的同时,不断沉淀中医药特色文化,引进以养脑利肢汤、治痰醒脑汤、肿瘤方等为代表的中医经典成方8项,年使用量3000余方,广受患者及家属好评。
神经外科重视医疗、教学与科研的全面发展与提高。近年来开展新项目包括:YL-1外引流治疗慢性硬膜下血肿、动脉瘤夹闭手术、 经鼻垂体瘤切除等。每年接收约20余名来自南京中医药大学、山东中医药大学及安徽中医药大学等大学本科生教学工作。独立承担国家自然科学基金1项、苏州市级课题3项、昆山市级课题3项。近5年在国内核心期刊及统计源期刊发表论文30余篇,发表SCI文章10余篇。2023年获苏州市新技术引进一等奖。
来源:昆山市中医医院




























