昆山市一医院介入栓塞联合无水酒精消融,让肿瘤“无处遁形”
近日,昆山市一医院介入治疗科通过经动脉介入栓塞术联合无水酒精消融成功诊治一位肝恶性肿瘤复发患者,并取得了满意疗效。
王先先(化名),49岁
2018年检查发现肝恶性肿瘤
行手术治疗
2019年复查发现肝内肿瘤复发
后在外院共行5次介入治疗
近2年复查均提示肝内病灶控制良好
但1周前患者复查发现
肝脏内又出现了新的肿瘤病灶
来到昆山市一医院介入治疗科进一步就诊
介入治疗科主任王万胜团队
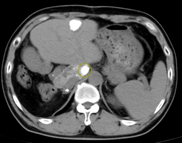
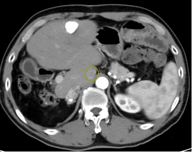
发现本次复发肿瘤病灶位于肝尾状叶
其位置位于腹腔深部
且后方为腹主动脉这一人体重要血管
手术难度较大,经过团队详细讨论
决定为王先生先行动脉介入化疗栓塞
治疗病灶的同时标记病灶
再行经皮穿刺无水酒精消融彻底毁损病灶
肝尾状叶肿瘤病灶
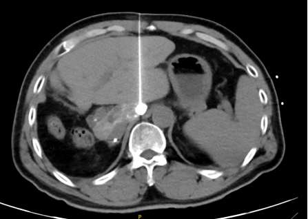
手术过程:
昆山市一医院介入治疗科已常规开展针对肝胆胰肿瘤的介入微创手术治疗,介入治疗的特点是精准、微创、安全。针对部分不能外科手术切除、无法耐受手术或术后复发的肿瘤患者,介入治疗可以满足这部分患者的医疗需求,为广大百姓的身体健康保驾护航。
来源:昆山市第一人民医院




























