夜间模式
  • 15357阅读
  • 3回复

[百姓话题]步步惊心!侵袭性肺曲霉菌病遇上致命性大咯血! [复制链接]

上一主题 下一主题
美女离线媛若惜
发帖
3714
昆币
63734 枚
只看楼主 使用道具 电梯直达
楼主  发表于: 2024-07-30 , 来自:江苏省0==

图片


近日,在昆山市中医医院肺病科(呼吸与危重症学科)病房里,李女士与死神展开了一场惊心动魄的殊死搏斗,肺病科苏士成主任团队与她并肩作战,与死神争分夺秒,每分每秒都在为生命而战。

图片

66岁的李女士

是一名糖尿病患者

平日就是带带孙子跳跳舞

最近感冒后

出现了咳嗽、胸闷气短,还伴有发热

在当地医院诊断为肺炎

补液治疗后症状反而逐渐加重

家人来到昆山市中医院肺病科求医

并收住入病房

经详细检查

床位医生发现李女士咳嗽咯痰时喘促明显

还伴有嘴唇发绀的症状

随即复查胸部CT发现

两肺炎症与之前CT相比明显进展

考虑到李女士病情危重

当晚就转入呼吸监护病房

图片


侵袭性肺曲霉菌病诊断明确!

图片

RICU陈泓主任医生阅读胸部CT,结合李女士呼吸道病毒检测提示**,根据多年临床经验指出李女士极有可能是流感后继发侵袭性肺曲霉菌病,果断经验性抗曲霉治疗,次日为李女士安排了床边气管镜检查,气管镜下见支气管管腔大量的白色膜状赘生物,管腔狭窄,它们如同顽固的藤蔓,紧紧缠绕着呼吸的通道。

图片

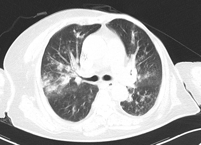
▲患者胸部CT:两肺感染,支气管壁增厚、管腔狭窄

图片

▲气管镜下支气管黏膜覆盖大量脓苔,管腔狭窄


随后的支气管肺泡灌洗液GM试验、真菌培养、基因测序(mNGS)及支气管黏膜活检均指向了同一个致病菌:烟曲霉。

图片

▲气管镜黏膜活检HE染色见大量曲霉菌丝及孢子


患者侵袭性肺曲霉菌病诊断明确,这种疾病常发生于免疫低下人群,李女士有糖尿病,这次**感染后继发曲霉感染,病情进展迅速,这种气道侵袭性肺曲霉病治疗难度大、死亡率高。

由于曲霉侵袭气管支气管导致管腔狭窄、管腔内大量膜状赘生物,李女士喘憋症状明显,每天要咳出大量黏痰,而且咳痰费力,RICU医护团队为她制定了周密的治疗计划:保持呼吸道通畅,加强痰液引流是关键,机械振动排痰、气管镜吸痰是必选项;主打的抗曲霉治疗既有静脉的输液治疗,也有气道吸入治疗;间断交替的无创呼吸机及经鼻高流量湿化氧疗改善缺氧、缓解呼吸肌疲劳。

经积极治疗,患者体温逐步趋于正常,咳嗽、喘促症状也有明显缓解。


屋漏偏逢连夜雨!

图片

然而就在胜利的曙光初现时

李女士突然出现了致命性大咯血

这也是曲霉感染侵袭肺部血管

最严重的并发症

一次性咯血量约200ml

随之血凝块阻塞气道

脉氧、心率急速下降

随时出现心跳、呼吸骤停

李女士命悬一线

RICU医护立刻采取应急预案

快速气管插管、口插管接呼吸机辅助呼吸

陈泓主任随即进行

气管镜清除气道血凝块及止血

出血支气管放置封堵球囊

咯血暂时止住了

这为下一步血管介入治疗赢得了时间

图片

▲RICU医护护送患者血管介入手术



柳暗花明又一村!

图片

介入团队和呼吸监护室医生在做好预案和家属充分沟通的基础上,李女士在RICU医护的护送下,有创呼吸机转运至放射科完善支气管动脉CTA检查,结果显示右上肺支气管动脉迂曲畸形,疑似有小动脉瘤出血。

介入科钱雪峰、赵震宇医师随即部署安排介入手术,通过造影成功锁定出血血管,并顺利实施右支气管动脉栓塞术+右肺中叶肺动脉分支栓塞术。经介入手术治疗后,李女士的咯血症状明显好转。

图片
图片
图片

▲血管介入手术


由于肺部感染严重,气管镜吸痰和镜下局部治疗成了李女士的日常,在RICU医护团队持续努力下,气管镜下管腔黏膜覆盖的膜状坏死物逐渐减少,呼吸机支持水平逐步下调,李女士成功气管拔管,撤离呼吸机。医护团队又为李女士安排了床边肺康复锻炼,经积极治疗及康复锻炼后,李女士症状明显改善,摆脱吸氧,独立下床活动,最终李女士顺利出院,回到医院继续口服抗真菌治疗。

图片

▲安排患者床边肺康复训练



侵袭性肺曲霉菌病

图片

侵袭性肺曲霉菌病是曲霉感染引起的一类威胁生命的感染性疾病,多发生于免疫功能受损人群,其最常见的危险因素包括中性粒细胞减少和使用糖皮质激素。

流感相关性肺曲霉菌病发生率达19%,病死率达51%。该例患者的成功救治得益于科室团队丰富的危重症感染救治经验、大咯血规范的救治流程以及默契的多学科配合,也离不开患者和家属的充分信任,正是医患双方的双向奔赴、全力以赴,挽救了一位危重症感染患者的生命。

图片

▲患者家属赠送锦旗


昆山市中医医院肺病科(PCCM)

昆山市中医医院肺病科(PCCM)现为苏州市中医重点专科,苏州市临床重点专科,2019年通过国家三级医院呼吸与危重症医学科(PCCM)建设,是复旦大学附属中山医院呼吸科医联体单位,长期与上海市胸科医院合作。科室目前开放床位90张,年出院病人数3000余人次,门诊约70000余人次。医生24名,主任(中)医师6名,副主任(中)医师4名,其中江苏省“333高层次人才培养工程”第三层次培养对象1名,姑苏卫生青年人才1名,硕士生导师2名,博士3名,硕士18名。近5年开展国家及省、市级科研课题10余项,其中国家青年基金项目2项,江苏省自然科学青年基金项目1项。多年来坚持建设具有浓厚中医特色的中西医结合肺病科的学科定位,将慢性阻塞性肺疾病与肺恶性肿瘤的研究、气管镜下介入操作及呼吸危重症的诊治作为科室重点发展方向。

图片

来源:昆山市中医医院

爆料有奖!关注昆山论坛抖音号,抖音搜索“昆山论坛”,或搜索抖音号:ksbbs
 
帅哥离线巴黎爱春天
发帖
1270
昆币
11148 枚
沙发  发表于: 2024-07-30 , 来自:江苏省0==
果然步步惊心
本帖评分记录
ldhjk 昆币 +1 -来自昆山论坛APP 2024-07-30
1条评分昆币+1
爆料有奖!关注昆山论坛抖音号,抖音搜索“昆山论坛”,或搜索抖音号:ksbbs
 
离线devilmo1224
级别: 昆山新人
发帖
365
昆币
435 枚
板凳  发表于: 2024-07-30 , 来自:江苏省0==
疫情之后身边都是肺结节
本帖评分记录
ldhjk 昆币 +1 -来自昆山论坛APP 2024-07-30
快车道 昆币 +1 -来自昆山论坛APP 2024-07-30
2条评分昆币+2
爆料有奖!关注昆山论坛抖音号,抖音搜索“昆山论坛”,或搜索抖音号:ksbbs
 
离线于笑风
发帖
5982
昆币
265 枚
地板  发表于: 2024-07-30 , 来自:江苏省0==
梅雨天气到处长霉。可以用84消毒液1比5兑水,找个喷壶对着发霉的地方喷,当时就能看到颜色消下去。过个两天就基本看不到了。喷的时候口罩,防护眼镜,手套,衣服穿白色的或者穿不要的长袖和裤子。上午喷完开窗通风,晚上就没啥味道了。喷上去的时候,能听到很轻的zilizili的声音。

[ 此帖被于笑风在2024-07-30 14:57重新编辑 ]
爆料有奖!关注昆山论坛抖音号,抖音搜索“昆山论坛”,或搜索抖音号:ksbbs
 
快速回复
限76 字节
如果您在写长篇帖子又不马上发表,建议存为草稿
 
上一个 下一个