夜间模式
  • 13231阅读
  • 2回复

[百姓话题]“晚期了,我不想治了”,原来有一种技术可以化不可能为可能 [复制链接]

上一主题 下一主题
发帖
2847
昆币
95893 枚
只看楼主 使用道具 电梯直达
楼主  发表于: 02-24 , 来自:江苏省0==
去年10月,刘阿姨(化名)

因大便次数增多

且便中带血

来到了市中医院肛肠科门诊就诊

陆琦主任接诊后

常规行肛门指检

在直肠内指尖触及僵硬肿块

为明确诊断

即刻为刘阿姨安排肠镜检查

图片

噩耗传来,肠镜检查后

刘阿姨确诊为直肠腺癌

增强CT及磁共振下显示瘤体巨大

直肠周围系膜内及后腹膜多发淋巴结转移

若立即手术

无法达到R0切除(完整切除肿瘤)

肿瘤残留短期内局部复发

影响患者预后

图片


化不可能为可能

为根治性手术创造条件!

图片

“晚期了,治不好了,算了!”

刘阿姨家人认为肿瘤发展到晚期

已无治愈可能,态度消极

面对此种情况

陆琦主任耐心与刘阿姨家属沟通与劝说

最终

家属同意接受转化治疗

图片

为确保治疗的精准性和有效性,肛肠科联合肿瘤科、影像科、病理科等多个科室进行了多学科讨论(MDT),为刘阿姨量身定制了转化治疗方案。

图片

▲多学科会诊(MDT)

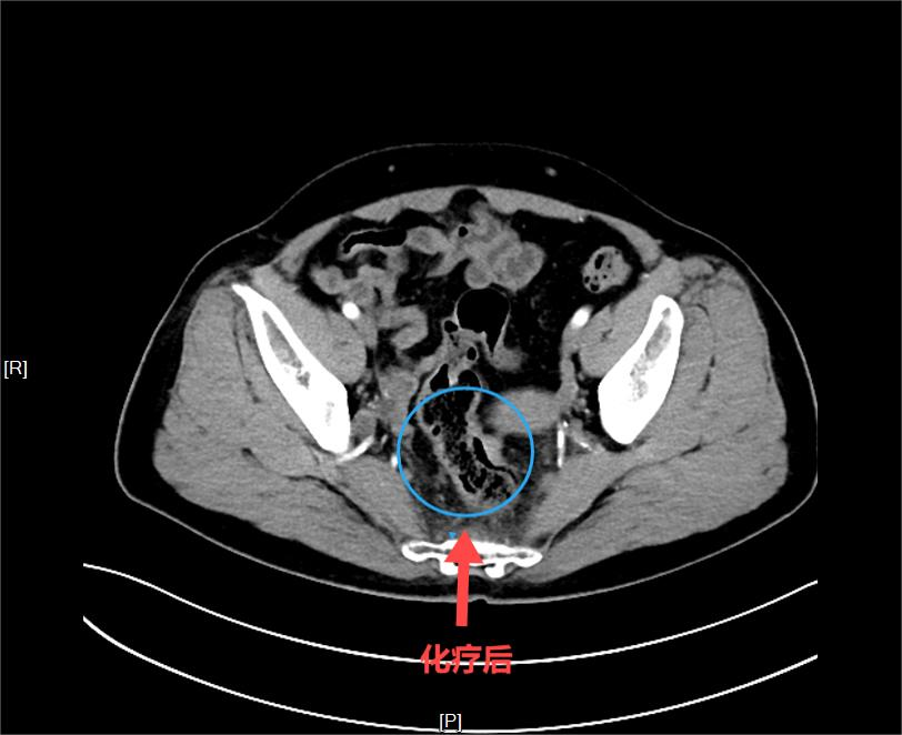
令人欣慰的是,经过四次两疗程的转化治疗后,刘阿姨明显感觉下腹部好像少了一样东西,身体轻松了好多。经过再次的增强CT评估,发现直肠肿瘤瘤体明显缩小,CT上几乎不可见,转移的淋巴结也明显缩小,显示出理想的治疗效果。

图片

▲化疗前

图片

▲化疗后


这时,手术时机已成熟

在充分与刘阿姨及家属沟通后

他们态度坚定

全力配合后续治疗

图片

然而,手术的难度仍然不容忽视。化疗后患者组织脆,易出血,且解剖界线也变得模糊了。经过陆琦主任团队的不懈努力,肿瘤完整切除,手术顺利,考虑到手术后的生活质量,团队与患者家属充分沟通后决定不做预防性造瘘(俗称肚子上的人工肛门),而是肛门留置肛管(引流粪便及排气)。手术后查看切下来的肿瘤,退缩明显,基本上剩下一个小小的凹陷。

图片

▲术后病理报告

经过精心治疗与护理,刘阿姨术后康复情况良好,术后10天顺利出院

为表达感激之情,刘阿姨家属送来锦旗以表谢意。

图片


什么是转化治疗?

图片

外科手术仍是肠癌治疗的最佳手段,但是部分肠癌患者在刚发现的时候就已经是晚期、失去了最佳的手术时机了,这时,转化治疗可能有效。

“所谓转化,就是实现了手术条件的转化。”陆琦主任介绍,随着肠癌治疗技术的进展,临床上可通过有效的全身治疗,包括化疗、放疗、靶向治疗、免疫治疗使肠癌的肿瘤病灶缩小,更利于手术切除,从而为患者争取到根治手术机会。

这种将原先不具备手术条件的患者通过一段时间的治疗转化为具备根治性手术条件的治疗过程,就称为转化治疗。

图片


哪些肠癌患者需要转化治疗?

图片

一般来说,转化治疗适用于晚期肠癌患者。临床数据表明,发生了肝转移和肺转移的肠癌患者,采用转化治疗后,转化成功的可能性还是比较大的。对于每一位晚期肠癌患者,都要尽可能的争取转化治疗的机会,不要轻易放弃。

陆琦主任表示,结直肠癌不同于其他消化道肿瘤,除了手术治疗外,靶向药物、免疫治疗、放疗、化疗等综合治疗效果也非常显著。近年来随着临床上新的治疗药物和治疗方法的发展,转化治疗的成功率越来越高,一些在以前无法进行转化治疗的晚期肠癌患者通过转化治疗、新辅助治疗、术后化疗、靶向治疗、放疗等多学科共同努力,即使肝转移、肺转移的患者也有治愈的机会,可以明显提高晚期结直肠肿瘤患者的生存率,让更多的晚期结直肠肿瘤患者受益。

图片

本期作者


图片

殷少华 肛肠科主治医师

医学硕士。擅长痔、瘘、裂、肠道炎性病、盆底疾病等肛肠科常见病多发病的诊疗。


审核作者


图片

陆琦 肛肠科主任

副主任医师,江苏省中医药学会肛肠专业委员会 委员;苏州市中医药学会肛肠病专业委员会 副主任委员;苏州市中西医结合学会盆底疾病专业委员会 常委;苏州市抗癌协会大肠癌专委会 委员;昆山市中医药学会中医外科委员会 副主任委员;昆山市医学会外科专业委员会胃肠外科学组委员。擅长:结直肠良、恶性肿瘤的微创手术治疗以及经肛门直肠早癌、神经内分泌肿瘤、直肠巨大腺瘤的微创手术治疗。痔疮、肛裂、肛周脓肿、肛瘘、直肠脱垂、骶前肿瘤等肛肠疾病的诊断和手术治疗。顽固性便秘的手术治疗。门诊时间:肛肠科门诊 每周二上午;便血门诊 每周五上午




市中医院肛肠科

图片

历史回眸

肛肠科于1985年建院时成立,苏州市中医临床重点专科,是我院最早开展的专科之一,科室具有鲜明的中医专科特色,在肛肠疾病的诊断和治疗方面均据市内领先水平。

科室现状与人才梯队

科室现有医生11名,科室人才优势突出,中青年技术骨干多,学历层次高,梯队建设合理,有专科医师11名,其中高级职称7名,博士1名,硕士研究生7名。

医疗工作能力

科室拥有住院床位38张,专科门诊2个,专科治疗室2个,年门诊量超25000人次,年手术量超2000例,年住院患者逾2300人次,手术占比超过95%。肛肠科中医药特色深厚,根据不同病种采用中药内服、熏洗、灌肠、手术切除、结扎、挂线、注射、理疗、电脑多功能治疗仪等方法治疗肛肠常见疾病,疗效好。尤其是近年来运用中西医结合手段,使肛肠疾病的诊疗水平不断提高,对环状混合痔、高位复杂性肛瘘、高位多病灶肛周脓肿的诊断与治疗达省内先进水平。消痔合剂、肛裂合剂、洁尔肛洗剂等自制药品经过临床数万例病人的使用,取得了较好的疗效。

2023年起,肛肠科开展了肠镜检查,并开展腹腔镜结直肠肿瘤手术,使肛肠科迈入了“大肛肠”时代。目前科室开展结直肠良、恶性肿瘤的微创手术治疗以及经肛门直肠早癌、神经内分泌肿瘤、直肠巨大腺瘤的微创手术治疗。痔疮、肛裂、肛周脓肿、肛瘘、直肠脱垂、骶前肿瘤等肛肠疾病的诊断和手术治疗。顽固性便秘的手术治疗。

近年来,为满足广大市民朋友的需求,在痔疮微创治疗、减轻术后疼痛方面开展积极探索,开展了痔疮的套扎、注射及超声多普勒引导痔动脉结扎等微创手术,同时常规在手术创面注射长效止痛剂,使肛肠术后疼痛大大减轻。

图片

来源:昆山市中医医院

本帖评分记录
艾万嘉 昆币 +1 -来自昆山论坛APP 02-27
倾城风雪 昆币 +1 -来自昆山论坛APP 02-25
kk1123 昆币 +1 -来自昆山论坛APP 02-25
秋一锋 昆币 +1 -来自昆山论坛APP 02-25
candydzq 昆币 +1 -来自昆山论坛APP 02-25
风之子2046 昆币 +1 -来自昆山论坛APP 02-25
秤坏了 昆币 +1 -来自昆山论坛APP 02-25
随性 昆币 +1 -来自昆山论坛APP 02-25
你喜欢 昆币 +1 -来自昆山论坛APP 02-25
不再缄默 昆币 +1 -来自昆山论坛APP 02-25
12
14条评分昆币+14
爆料有奖!关注昆山论坛抖音号,抖音搜索“昆山论坛”,或搜索抖音号:ksbbs
 
帅哥在线恐怖骑士
级别: 昆山名人

发帖
64326
昆币
98653 枚
沙发  发表于: 02-25 , 来自:江苏省0==
厉害,加油。
爆料有奖!关注昆山论坛抖音号,抖音搜索“昆山论坛”,或搜索抖音号:ksbbs
 
帅哥在线上善若水…
级别: 昆山名人
发帖
25059
昆币
15799 枚
板凳  发表于: 02-25 , 来自:江苏省0==
同事肠癌,去年去上海手术的。下半年扩散了,现在体重几十斤了…………
爆料有奖!关注昆山论坛抖音号,抖音搜索“昆山论坛”,或搜索抖音号:ksbbs
 
快速回复
限76 字节
批量上传需要先选择文件,再选择上传
 
上一个 下一个