夜间模式
  • 14750阅读
  • 0回复

[百姓话题]金杏病例 丨反复鼻塞!鼻息肉?那可不一定 [复制链接]

上一主题 下一主题
离线闭眼听风
发帖
2790
昆币
45525 枚
只看楼主 使用道具 电梯直达
楼主  发表于: 2024-08-26 , 来自:江苏省0==

近日

耳鼻喉科门诊接诊了这样一位患者

老人家79岁

既往已有三次“鼻息肉”手术史

每次7~8年后都会复发

自诉近一月右侧鼻塞加重

图片

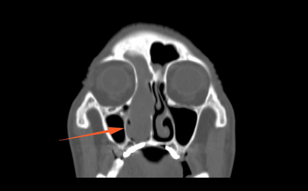
CT显示:右侧鼻腔及额窦、筛窦

又充满了软组织影

无法正常呼吸,伴头痛、嗅觉减退

于是来到了耳鼻喉科蒋锐主任门诊就诊

图片

耳鼻喉科蒋锐主任仔细询问了病史,考虑到患者主诉已经做了三次“鼻息肉”手术了,但时间都过于久远,蒋锐主任专门调取了十余年前的病理报告,确实显示是“鼻息肉”,但是多次的复发不得不让人怀疑肿物并不是一个单纯的“鼻息肉”。

图片

综合考虑后,蒋主任立即就给患者做了鼻内镜检查,并同时取了病理活检,内镜可见肿物已长满整个右侧鼻腔,伴少许黏稠鼻涕,已无通气空间,肿物表面呈白色荔枝肉样改变,乍一看确实很像“鼻息肉”。

翌日,病理活检报告提示:(右侧鼻腔)鼻息肉伴移行上皮增生及轻度不典型增生。

根据经验,这很有可能是一个伪装成“鼻息肉”的鼻腔内翻性乳头状瘤,之前多次病理提示“鼻息肉”可能与术中取材部位不准确有关。

图片
图片
图片
图片

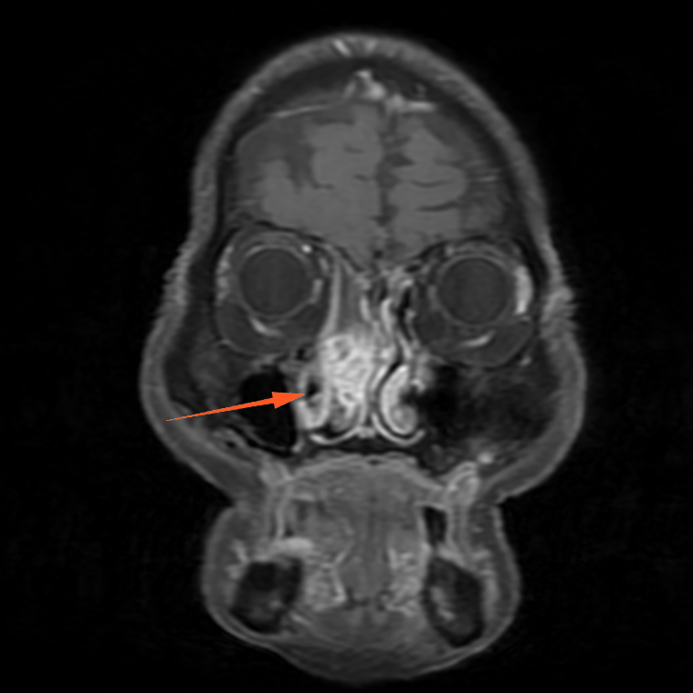
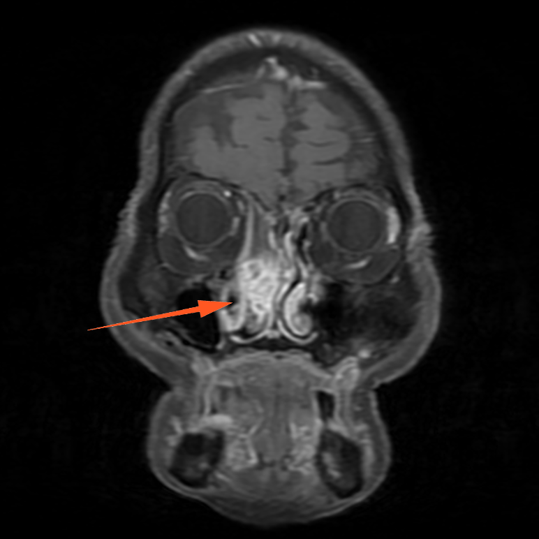
进一步增强MR显示:鼻腔右侧异常信号影,T1等信号,T2等高信号,DWI高信号,增强后周边强化为主。

蒋主任仔细阅读影像学图像,该患者的肿物在T2相有 “脑回征”,但又不典型,鼻窦骨质也没有明显的增生,肿物已经占满整个右侧额窦窦腔,好在患者额窦气化尚可,肿物未越过瞳孔中线,要彻底清除肿物,需要打开额窦,将窦内软组织完全清理干净并磨除基底部部分骨质再烧灼。

按照传统方式,需要行眉弓切口(沿眉毛下方至鼻根部切开皮肤),患者面部将遗留一道3—4cm长的疤痕,术后疼痛也较明显,综合考虑后蒋主任给患者选择了“经鼻鼻内镜下鼻腔鼻窦肿物切除+额窦开放根治术”。

术中通过鼻腔将额窦外的肿物完全清除,然后通过层层磨骨的方式,将上颌骨额突磨开,额窦前壁打开至2/3,去除额窦底壁,从而将窦内肿物完全暴露并彻底清除,首次完成了Draf Ⅱ型额窦开放术,术中作黏膜瓣保护上颌骨额突裸露骨质,并通过彻底电凝止血进行微填塞。

图片

▲鼻腔术后内镜

术中多点取材,避免漏诊可能性,最终病理提示:呼吸上皮乳头状瘤,部分呈内翻性生长,部分呈外生性生长,合并原位鳞状细胞癌,局灶见间质浸润。

患者术后反应轻微,麻醉苏醒后即精神恢复良好,术后第二天换药见黏膜瓣在位良好,可以明显减少术后窦口挛缩再闭锁可能。

什么是鼻腔鼻窦内翻性乳头状瘤?

图片

鼻腔鼻窦内翻性乳头状瘤是一种相对常见的良性肿瘤,约占鼻腔鼻窦乳头状瘤的70%,并且在全部鼻腔鼻窦肿瘤中占比约为0.5%~4%。

尽管它是一种良性肿瘤,但因其术后容易复发及存在恶变的可能性,使其与其他鼻腔鼻窦良性肿瘤有所不同。

目前,该肿瘤的确切病因尚不完全清楚。多数学者认为它是一种良性型的真性肿瘤。也有观点认为,人乳头状瘤病毒(HPV)与其发病有密切关系。此外,环境因素、病毒感染、炎症刺激等也可能导致肿瘤的发生。

流行病学研究显示,该肿瘤在人群中的患病率较低,男女比例大致在3:1至5:1之间,多见于中年男性(平均年龄约54岁)。患者常出现鼻塞、鼻内肿块、流涕(有时带血)、头面部疼痛和嗅觉异常等症状。随着肿瘤的增大和累及部位的增多,症状也会相应加重。

主要治疗方法是手术切除,目的是彻底切除病变以减少复发的可能性。虽然鼻腔鼻窦内翻性乳头状瘤是良性肿瘤,但其具有复发和恶变的倾向。如果反复发作,可能会恶变成鳞癌,本例患者就是多次手术后出现了恶变。然而,即使是鳞癌,经过规范化治疗,预后通常还是比较乐观的。



昆山市中医医院耳鼻喉科简介

历史回眸

耳鼻喉科成立于*****,是昆山地区最早创建的科室之一,经过多年发展和努力,已经成为了能够运用中西医结合治疗耳鼻喉科常见病及各类疑难杂症并能开展耳鼻喉科多类专科手术的特色专科。

科室现状与人才梯队

科室现有医师12名,副主任医师4名,主治医师4名,住院医师4名,其中硕士5名。中、西医人才齐聚,以中青年骨干医生为主,临床实践能力及科研能力较强。

医疗工作能力

科室门诊量突破73000人次,年出院病人300余例,其中手术人次300例。我科拥有耳鼻咽喉科多种检查和治疗设备,引进耳鼻喉内窥镜、电子鼻咽喉镜、耳鼻喉科动力系统、低温等离子手术系统、*耳*能分析仪、耳石复位仪、脑干诱发电位仪、手术导航系统等高精尖仪器,并设有过敏性鼻炎、中耳炎专科门诊。拥有科室自制产品:咽炎冲剂,五味冲剂,鼻炎冲剂,鼻止血冲剂,爽声冲剂等,传承发扬中医特色,临床疗效颇佳。

多年以来,科室应用中西医结合的特色疗法手段,对耳鼻咽喉各类疾病,因人而异、辨证施治、标本兼治的原则,成功治愈众多耳鼻咽喉疾病患者。同时可以开展三级甲等综合性医院的各种手术,如扁桃体、腺样体手术,各种疑难复杂的功能性鼻内窥镜手术,腭咽成形术等鼾症治疗手术,中耳炎的根治术、鼓室成形术以及头颈部的各种良恶性肿瘤手术等。

近五年来全科发表包括SCI、国内各种核心期刊在内的论文共20余篇。2014--2019获昆山卫生局新技术项目一等奖一项,三等奖三项,优秀论文奖二项。主持完成昆山市级科研课题两项,在研苏州市级科研课题一项,昆山市级科研课题两项。

图片

来源:昆山市中医医院

本帖评分记录
不再缄默 昆币 +1 -来自昆山论坛APP 2024-08-27
1条评分昆币+1
爆料有奖!关注昆山论坛抖音号,抖音搜索“昆山论坛”,或搜索抖音号:ksbbs
 
快速回复
限76 字节
如果您提交过一次失败了,可以用”恢复数据”来恢复帖子内容
 
上一个 下一个