夜间模式
  • 12497阅读
  • 4回复

[百姓话题]发现甲状腺肿大,再长10年会怎么样? [复制链接]

上一主题 下一主题
离线预见
发帖
3294
昆币
57982 枚
只看楼主 使用道具 电梯直达
楼主  发表于: 2024-11-15 , 来自:江苏省0==

48岁的患者王女士

因“发现甲状腺肿大10余年”

曾于外院就诊

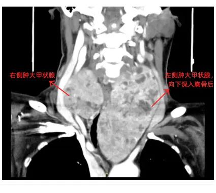
外院CT提示:

胸骨后甲状腺肿,气管压迫明显

王女士来到昆山市一医院就诊

图片

甲状腺疾病诊疗中心

以甲状腺乳腺外科为牵头科室

联合内分泌科、超声医学科

核医学科、病理科等共同组成

按“病”不按“科”的全新就诊流程

既传承专科精细化发展

又整并“多对一”诊疗新模式

为甲状腺疾病患者

提供便捷、精准、高效的健康服务


该中心周沁主任医师团队

为王女士组织多学科讨论

经过麻醉科、心胸外科、重症医学科、

内分泌科等多专科共同制订治疗方案

图片

术中见双侧甲状腺腺叶非常肿大

左侧腺叶约16cm*8cm

右侧腺叶约8cm*6cm

周围血管丰富

左侧甲状腺最下缘深达主动脉弓水平下缘


在麻醉科和手术室的配合协助下

成功将甲状腺巨大肿瘤进行了精准的切除

避免了王女士可能因胸骨切开

而带来的较大创伤

最后顺利的解决了困扰王女士十余年的病痛

图片

术后第9天

王女士在甲乳外科医护团队的精心照护下

顺利出院

小贴士:

巨大甲状腺即B超下甲状腺结节直径≥8cm的甲状腺,常并发气管食管受压移位或变窄以及甲状腺对喉返神经推拉、移位。临床巨大甲状腺患者通常病程较长,肿物生长缓慢,一般都是出现压迫症状后才到医院就诊。巨大甲状腺增加了手术操作难度,且术后并发症多,尽早手术才是唯一正确的处理方法。

图片

在此,昆山市一医院甲乳外科提醒广大市民:甲状腺的常规体检不能松懈,如发现甲状腺迅速增大,切忌掉以轻心,应当立即咨询专业医生,以免错过最佳治疗期。


来源:昆山市第一人民医院


本帖评分记录
不再缄默 昆币 +1 -来自昆山论坛APP 2024-11-16
高维豪 昆币 +1 -来自昆山论坛APP 2024-11-15
新时代养蜂人 昆币 +1 -来自昆山论坛APP 2024-11-15
3条评分昆币+3
爆料有奖!关注昆山论坛抖音号,抖音搜索“昆山论坛”,或搜索抖音号:ksbbs
 
帅哥离线djx0512
级别: 昆山名人

发帖
24641
昆币
34193 枚
爆料
3
沙发  发表于: 2024-11-15 , 来自:上海市0==
发现甲状腺肿大,再长10年会怎么样?


一般来说,再长10年会继续肿大10年
楼中楼
  • 2024-11-15 21:51 横楼小猪头: 我手臂上有个皮下脂肪瘤涨了好几年,今年夏天拍蚊子用力过猛给拍碎了,现在越来越小几乎感觉不出来了
爆料有奖!关注昆山论坛抖音号,抖音搜索“昆山论坛”,或搜索抖音号:ksbbs
 
离线福凤
发帖
12076
昆币
13288 枚
板凳  发表于: 2024-11-15 , 来自:江苏省0==
      
爆料有奖!关注昆山论坛抖音号,抖音搜索“昆山论坛”,或搜索抖音号:ksbbs
 
帅哥离线新时代养蜂人
发帖
10202
昆币
12107 枚
地板  发表于: 2024-11-15 , 来自:江苏省0==
爆料有奖!关注昆山论坛抖音号,抖音搜索“昆山论坛”,或搜索抖音号:ksbbs
 
美女离线听见花开
级别: 昆山名人

发帖
53470
昆币
49673 枚
4楼 发表于: 2024-11-16 , 来自:江苏省0==
早体检早点治疗
爆料有奖!关注昆山论坛抖音号,抖音搜索“昆山论坛”,或搜索抖音号:ksbbs
 
快速回复
限76 字节
如果您在写长篇帖子又不马上发表,建议存为草稿
 
上一个 下一个