夜间模式
  • 15271阅读
  • 1回复

[昆山要闻]昆山首例!市一医院成功开展超声内镜下胰腺假性囊肿穿刺引流术 [复制链接]

上一主题 下一主题
美女离线媛若惜
发帖
3747
昆币
63950 枚
只看楼主 使用道具 电梯直达
楼主  发表于: 2024-02-21 , 来自:江苏省0==

图片

近日,昆山市一医院消化内科成功开展昆山首例超声内镜下胰腺假性囊肿穿刺引流手术。这项技术结合超声影像、内镜及穿刺等多种技术,充分体现了昆山市一医院医者仁心和责任担当。

微信截图_20240221101531.png

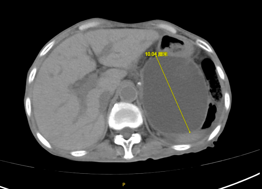
程女士,70岁,反复腹胀4天余,来到昆山市一医院消化内科就诊,通过问诊得知程女士去年7月因“急性腹痛发作”于外院确诊为急性重症胰腺炎,经治疗后,胰腺炎病情虽有好转,但不幸的是:程女士出现了胰腺炎治疗后的并发症——胰腺假性囊肿,门诊复查腹部CT提示胰尾部假性囊肿形成,大小约10*8.5cm,程女士此次腹胀、恶心呕吐考虑是由于巨大囊肿压迫所致。程女士此前已辗转于昆山及周边多家医院就诊,由于程女士年龄大,病情重,大量腹水(超声腹水深度为12cm),营养差,白蛋白16.3g/L(正常值:35-50g/L),行进一步手术治疗风险极大,程女士和家属焦急万分。

图片

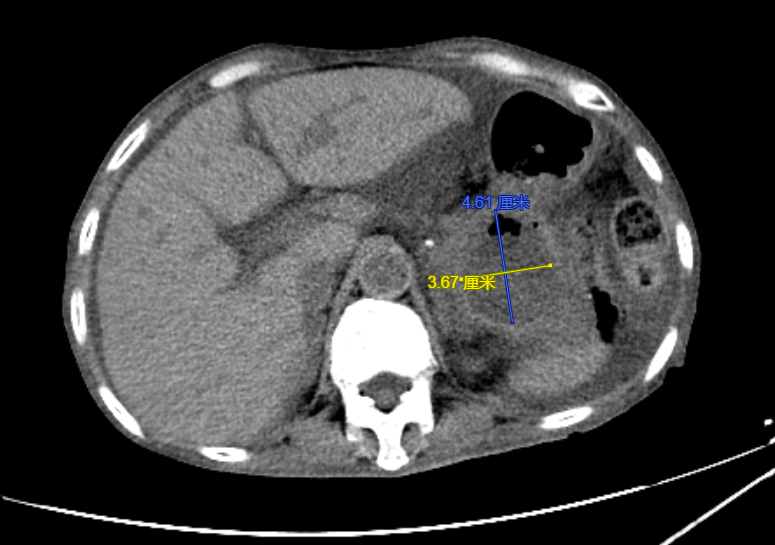
手术前

图片

手术后













微信截图_20240221101501.png

消化内科主任王庆华团队了解情况后,进行了专家会诊、多科讨论,并给予抗感染、抑酸抑酶、补充白蛋白、输血、营养支持、间断腹水引流等对症治疗,经一个多月的综合治疗后,程女士一般情况明显好转,超声腹水深度减少至4cm,营养情况也得到显著改善。

王庆华团队考虑到程女士囊肿巨大,形成时间已大于6周,无法自行吸收,病情随时可能出现反复,在团队的充分研判下,决定为其进行超声内镜引导下胰腺假性囊肿穿刺引流术,同时耐心细致做好病情沟通,取得程女士及家属的理解配合。

图片

微信截图_20240221101628.png

经过充分的术前准备,在内镜中心、麻醉科、采购供应科等多个科室的协作下,在外院专家的指导帮助下,在超声内镜下精确定位囊肿后,将穿刺针经胃壁穿刺进入囊腔,抽取少量淡黄色囊液送检,拔除针芯并置入导丝,沿导丝使用囊肿切开刀在超声内镜和内镜视野下电切进入囊腔,扩张后见大量淡黄色囊液涌出,随后置入双猪尾塑料支架一枚,X线下见支架位置良好,手术顺利。

术后程女士腹痛、腹胀症状迅速得到了缓解,复查CT示囊肿较前显著缩小,目前已康复出院。


图片

胰腺假性囊肿

胰腺假性囊肿多继发于急性重症胰腺炎、慢性胰腺炎和胰腺损伤,是最常见的胰腺囊性病变,对于囊肿大于6cm、观察6周以上仍未见吸收消退者应予以积极治疗。

近年来,随着内镜诊治技术的飞速发展,超声内镜引导下经胃内胰腺假性囊肿引流术成为治疗胰腺假性囊肿的首选方案,其优势在于创伤小,安全性和治愈率高,术后并发症少。

图片

消化内科主任王庆华表示:

医路漫漫,市一医院消化内科将持续开展超声内镜下各项新技术,为昆山及周边胆胰疾病的患者带来福音。

图片
图片
图片

昆山市第一人民医院

消化内科简介

图片
图片

昆山市第一人民医院消化内科是集医疗、教学、科研为一体的苏州市临床重点专科,全科设有病床51张,现有各级医师18人,具有主任医师3人,副主任医师7人,硕士生导师2名。

消化内科每天开设消化专科门诊2个、专家门诊1-2个,年门诊量约90000/年,并开设消化道早癌专病门诊、幽门螺杆菌专病门诊、胃食管反流病专病门诊、医药护联合门诊等,病区现拥有胶囊内镜、24小时食管PH测定仪、胃肠动力检测、生物反馈治疗仪等设备,能成熟开展重症急性胰腺炎、消化道大出血、难治性炎症性肠病、肝脏穿刺、胆道系统疾病、慢性胰腺炎、胃肠功能紊乱等相关疾病的诊疗。

消化内镜亚专业成熟开展内镜下消化道支架植入术、息肉摘除术、内镜下粘膜切除术、内镜下粘膜下层剥离术、逆行胆胰管造影术(ERCP)、食道静脉曲张出血EVL+PSE治疗等内镜技术。拥有消化专业国际上最先进的设备:经口胆道镜(SpyGlass)、UP100碎石治疗仪、人工智能内镜精灵等,在巨大胆总管结石的激光碎石治疗、复杂的肝胆胰疾病、消化道早期肿瘤的内镜下诊断及治疗方面均有着丰富的经验。

同时科室长期与上海长海医院、江苏省人民医院、南医二附院、苏州大学附属第一医院、苏州大学附属第二医院等多家医院有合作关系,每月均与上海、苏州等多家医院进行学术交流,学科总体医疗、教学和科研水平一直居于昆山市内领先水平。

图片



来源:昆山市第一人民医院

本帖评分记录
人生漫步 昆币 +1 -来自昆山论坛APP 2024-02-21
1条评分昆币+1
爆料有奖!关注昆山论坛抖音号,抖音搜索“昆山论坛”,或搜索抖音号:ksbbs
 
帅哥离线新时代养蜂人
发帖
10862
昆币
12880 枚
沙发  发表于: 2024-02-21 , 来自:江苏省0==
爆料有奖!关注昆山论坛抖音号,抖音搜索“昆山论坛”,或搜索抖音号:ksbbs
 
快速回复
限76 字节
如果您提交过一次失败了,可以用”恢复数据”来恢复帖子内容
 
上一个 下一个