夜间模式
  • 15552阅读
  • 3回复

[百姓话题]可以治愈的高血压!昆山中医院原发性醛固酮增多症MDT诊疗探索之路 [复制链接]

上一主题 下一主题
美女离线你听我说
发帖
3744
昆币
129469 枚
只看楼主 使用道具 电梯直达
楼主  发表于: 2024-04-16 , 来自:江苏省0==

今年2月份

53岁的孙女士来到了市中医医院就诊

孙女士高血压病史已经有5年了

服用2种降压药物

血压维持在150/100mmHg

平时有心悸、乏力

在高血压专病门诊初筛后,心血管科给孙女士查了电解质提示血钾3.4mmol/l,醛固酮187ng/L,肾素活性0.45ng/ml/h;醛固酮/肾素比值(ARR)41.56。

初步诊断

高血压原因待查:原发性醛固酮增多症?原发性高血压?低钾血症。

图片

多科合作探明“元凶”

带着上述疑问,昆山市中医医院由内分泌科、泌尿外科、心血管科、血管外科、检验科、影像科等组成的原发性醛固酮增多症MDT团队带上孙女士走上了探索高血压原因真相的道路。

孙女士在内分泌科门诊将原降压药调换为对实验室检查没有影响的特拉唑秦,并纠正低钾血症后,收入内分泌科病房,再次完善的醛固酮/肾素活性比值为31.11>20;符合原发性醛固酮增多症的初筛标准;接下来赵星海主任内分泌科团队进一步完善了盐水输注确诊实验,结果如下:

图片

患者在内分泌科病房行盐水输注实验结果提示实验结束后醛固酮水平依然不能被抑制,醛固酮仍然>10ng/dl;这时候这个患者的诊断已经明确,考虑高血压是由原发性醛固酮增多症引起的继发性高血压。同时在筛查的过程中,孙女士的心电图示T波改变,提示有心肌缺血。

但不仅于此,还需要进一步影像学检查明确分型定位。

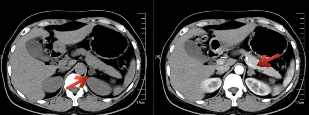
完善肾上腺增强CT提示左侧肾上腺结节灶伴轻度强化,大小约13*15mm,腺瘤。

图片

虽然诊断仍不明确,问题还没解决!孙女士的肾上腺CT提示右侧肾上腺有增粗,到底谁才是元凶?

为了解决这个问题,昆山市中医医院MDT团队的血管外科团队亮相,对孙女士进行了双侧肾上腺采血术(AVS),检测了激素分泌情况,终于明确了左侧肾上腺为优势侧,诊断为醛固酮瘤,正是孙女士高血压、低血钾的元凶。

图片
图片

手术摘除,从“根源”解决

接下来,在确诊了原发性醛固酮增多症诊断及定位分型的前提下,孙女士进入了泌尿外科张曦主任医师手术团队,成功进行了微创腔镜手术下的左侧肾上腺全切术,手术非常顺利。术后孙女士停用了降压药物及补钾药物,顺利出院。

术后一月患者复诊,这时候,在未服药的情况下,她的血压维持在130/80mmHg;血钾维持在3.8mmol/l左右。孙女士及她的家人深深地感谢昆山市中医医院的原醛MDT团队,在确诊疾病的过程中简化了就诊流程,术后生活质量得到了显著的提升,再也不需要依赖那些降压药和补钾药了。

图片

带你认识难治性高血压

原发性醛固酮增多症(简称原醛症)

其实像孙女士这样的原醛病患并不在少数,但因为很大一部分患者没有明显的难治性高血压,或者严重的低钾血症,所以过去几十年,原醛症一直被认为是少见病,在高血压人群中不到1%。

随着诊断技术的提高,相当一部分血钾正常的原醛症患者得以发现并确诊。这种继发性高血压表面上看与其他高血压没什么不同,但它似乎没那么“软萌”,持续血压高水平,有时还会让你感到全身乏力,手足麻木,因此被称为“隐匿的健康杀手”。

国外报道,在难治性高血压患者中,其患病率更高,约为17%~23%。2010年由中华医学会内分泌学分会牵头,在全国11个省19个中心对1656例难治性高血压患者进行了原醛症的筛查,报道其患病率为7.1%。与原发性高血压相比,原醛症对心脏、肾脏等高血压靶器官的损害更为严重。此外,醛固酮水平增加是心肌肥厚、心力衰竭和肾功能受损的重要危险因素。由此可见,原醛症可隐藏在体内,产生诸多危害。

因此,在高血压人群特别是难治性高血压及新诊断的高血压人群中开展原醛症筛查具有重要的临床意义。

既然原醛的危害这么大

为什么我们平时很少听说呢?

有多方面原因,主要有:原醛症是一种复杂多变的内分泌疾病,它的诊断需要经过病史采集、激素筛查、激素确诊检查、影像检查、肾上腺静脉采血定位、手术/药物治疗等多个环节,需要内分泌科医生等具有过硬的专业知识,并且它的诊治过程会涉及多个专科,需要不同科室同心协力才能为不同患者制定个体化方案。以上原因限制了广大基层社区对该疾病的认识和诊疗。

2024年02月起昆山市中医医院由医务科牵头成立的由内分泌科、泌尿外科、心血管科、血管外科、检验科、影像科组成的原发性醛固酮增多症MDT团队,实施以病人为中心的模式,发挥各自的专业特长,对疑似原醛症患者进行多学科联合评估和会诊,结合患者的病情、体格检查、激素检查结果、肾上腺影像学结果、患者治疗需求和肾上腺静脉采血(AVS)结果等来全面深入地进行评估,和患者及家属一起讨论,为患者制定个体化的、全面的诊疗方案和随访方案。对愿意手术治疗且手术可行的患者进行手术治疗(部分患者可治愈),对于无法手术或不愿手术患者进行药物治疗,并制定长期随访方案。

那么,哪些患者会考虑原醛症?

根据《原发性醛固酮增多症诊断治疗的专家共识(2020 版)》推荐,符合下列情况的高血压患者要想到原醛症的可能,尽早进行筛查:

(1)持续性血压>150/100mmHg,难治性高血压联合3种降压药包括利尿剂(>140/90 mmHg),联合四种或以上降压药(<140/90 mmHg);

(2)不能解释的低血钾(包括自发性或利尿剂诱发者);

(3)有早发性高血压家族史,发病年龄早者(<50岁); 或脑血管意外<40岁者;

(4)肾上腺偶发瘤;

(5)原醛患者一级亲属高血压者;

(6)高血压合并阻塞性呼吸睡眠暂停;

(7)发病年龄早者(<40岁)。

原发性醛固酮增多症MDT团队值得信赖!

中医献温馨·健康进万家


图片
图片

赵星海

主任医师 副教授

老年医学(内分泌)科主任


图片

个人简介

  • 江苏省中医药学会感染性疾病专业委员会常务委员;

  • 苏州市中西医结合内分泌专业委员会常务委员;

  • 苏州市中医学会糖尿病分会副主任委员;

  • 昆山市老年医学专业委员会副主任委员。

图片

擅长

  • 擅长糖尿病、高血压、高血脂,痛风、骨质疏松、甲状腺疾病等内分泌代谢性疾病。

图片

门诊时间

  • 每周四全天



图片
图片

张曦

医学硕士 主任医师

泌尿外科主任助理

前列腺亚专业组组长


图片

个人简介

  • 苏州女性与尿控学组副组长;

  • 苏州中西医结合泌尿外科常委;

  • 昆山泌尿外科常委;

  • 昆山健康科普委员会副主任委员;

  • 美国wake forest大学访问学者。

图片

擅长

  • 擅长腹腔镜前列腺癌 肾上腺手术,激光前列腺剜除,泌尿系尿结石,女性尿失禁,尿道狭窄等手术治疗。

图片

门诊时间

  • 周二全天、周四上午



图片
图片

姜 坤

博士,副主任医师

昆山市中医医院血管外科主任


图片

个人简介

  • 中国微循环学会周围血管病分会委员;

  • 江苏省医学会血管外科分会主动脉学组委员;

  • 江苏省医师协会血管外科医师分会下肢动脉学组委员;

  • 苏州市中西医结合学会血管外科分会副主任委员

  • 昆山市医学会普外科专业委员会常务委员;

  • 2021年于复旦大学附属中山医院研修主动脉、颈动脉等疾病的诊治。

图片

擅长

  • 擅长血管外科常见疾病的诊治,如主动脉夹层、胸腹主动脉瘤的腔内修复术,急慢性下肢动脉缺血的腔内及开放手术治疗;下肢深静脉血栓形成、肺栓塞的腔内治疗;下肢静脉曲张的微创手术治疗;内脏动脉瘤的腔内治疗;肠系膜缺血性疾病的腔内治疗。

图片

门诊时间

  • 周一上午、周三全天



图片
图片

潘 文

主任医师 硕导 心脏中心主任

昆山市中医医院心内科主任


图片

个人简介

  • 中国医药教育协会胸痛专业委员会委员;

  • 江苏省中西医结合学会心血管专业委员会委员

  • 江苏省中医药学会心系疾病专业委员会委员;

  • 苏州中医药学会心血管专业委员会副主任委员;

  • 苏州市医学会心血管病学专业委员会委员;

  • 苏州市医学会胸痛专业委员会委员;

  • 昆山市医学会心血管病学专业委员会副主任委员。

图片

擅长

  • 擅长心血管内科常见病、多发病、疑难病的诊治,尤其是冠心病、高血压的介入治疗。

图片

门诊时间

  • 周二全天门诊


图片
图片



来源:昆山市中医医院

爆料有奖!关注昆山论坛抖音号,抖音搜索“昆山论坛”,或搜索抖音号:ksbbs
 
帅哥离线毛毛1234577
发帖
10483
昆币
18695 枚
沙发  发表于: 2024-04-16 , 来自:江苏省0==
我也高血压,去看什么科,
楼中楼
  • 2024-04-16 16:41 晴冷月: 心血管内科
爆料有奖!关注昆山论坛抖音号,抖音搜索“昆山论坛”,或搜索抖音号:ksbbs
 
离线tonyxyz
发帖
7898
昆币
12291 枚
板凳  发表于: 2024-04-16 , 来自:江苏省0==
上次带老妈去中医院,护士给说挂心血管科。

这里看上去主导的是内分泌(老年病科),到底去看那个科室呢?

查了以下肾功能和微量元素,好像没找到诱因。但是血药确实高。
爆料有奖!关注昆山论坛抖音号,抖音搜索“昆山论坛”,或搜索抖音号:ksbbs
 
离线miiily
级别: 昆山新人
发帖
226
昆币
312 枚
地板  发表于: 2024-04-22 , 来自:江苏省0==
现在越来越年轻化了
爆料有奖!关注昆山论坛抖音号,抖音搜索“昆山论坛”,或搜索抖音号:ksbbs
 
快速回复
限76 字节
如果您提交过一次失败了,可以用”恢复数据”来恢复帖子内容
 
上一个 下一个