夜间模式
  • 10429阅读
  • 3回复

[昆山要闻]昆山中医院大脑手术也能用“GPS”!脑肿瘤微创更精准 [复制链接]

上一主题 下一主题
离线闭眼听风
发帖
2822
昆币
45789 枚
只看楼主 使用道具 电梯直达
楼主  发表于: 2024-05-27 , 来自:江苏省0==

定位更精确!

医源性损伤更小!

颅内微创手术更精细!

术后恢复更快!

昆山市中医医院神经外科

首次在昆山应用颅内手术导航系统!

图片

近日

72岁的庄女士

因为一次体检偶然发现颅内占位

庄女士和家属慕名来到了

市中医医院神经外科陈龙主任门诊就诊

经对患者的评估后

随即安排神经外科住院治疗

图片

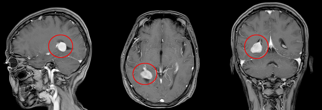
▲患者头颅MR增强

考虑脑膜瘤可能!

入院后,神经外科主任王文华立刻组织术前讨论并表示:该患者肿瘤位于三角区,位置较深,肿瘤大小2.2cm*1.6cm,肿瘤周围血管、神经丰富,手术难度较大,传统开颅肿瘤切除术中出血多,肿瘤定位困难,对血管神经的破坏较大。市中医医院引进的术中导航系统可以精准定位肿瘤,计算最优路径,减少脑组织的损伤,减少术中出血。

陈龙主任医师与家属沟通后家属选择接受术中导航并表示

创伤小一点

恢复快一点

那是最好不过的了!

权衡利弊最优解!

完善术前准备排除手术禁忌后,王文华主任和陈龙主任医师在全麻下对患者行颅内肿瘤切除术。


图片
图片

▲术中神经导航模拟肿瘤位置,精准定位,计算最优路径

经神经导航的辅助,选取微创小切口,完整切除肿瘤,术中出血少,对功能区保护满意。

▲手术切口5公分,术后切口愈合良好

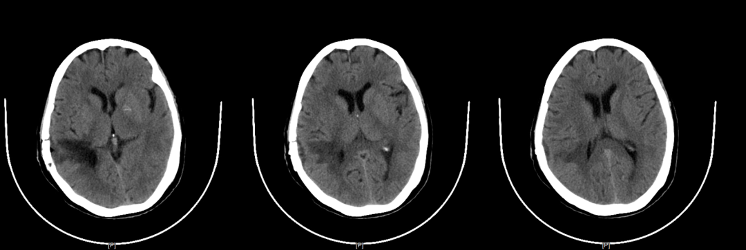
术后复查CT

图片

肿瘤切除满意,无出血渗血。目前,庄女士神志清除,生命体征平稳,肢体活动无障碍,已顺利出院。

神经外科主任王文华介绍

神经外科手术导航系统由核心计算单元、跟踪定位单元、显示交互单元及专用导航手术工具组成,是将“多模态医学影像信息”与“空间定位追踪技术”整合在一起的系统集成解决方案,它的应用为神经外科手术的精准和微创提供了重要的保证。

神经导航系统可以辅助手术医生设计手术入路;通过术前在工作站所获得的病变、神经、血管和脑室结构三维图像,选择最理想的个性化手术人路,改变了传统的开颅方式。选择非功能区手术入径最短;尽量利用脑自然沟、裂、池。这样设计可最大限度地缩小皮瓣面积、骨瓣大小和皮层切口,减少脑暴露。同时术中导航精确定位病灶及其周围重要结构,对颅内深部小病灶。传统手术往往难以准确定位,盲目探查增加对周围重要神经血管的医源性损伤是微创手术之大忌.神经导航系统恰恰弥补了这一缺陷,特别是在颅底手术中,可精确探 及肿癌边界,实时了解肿瘤与其毗邻重要神经肚臂如脑干、颈内动脉、基底动脉等的关系,术后印证切除范围。

显微神经外科要求尽可能减小手术的医源性损伤,最大程度切除病灶,获得最佳疗效。神经导航系统的推广应用,以其定位精确和实时导航功能,微创手术的实施提供了可靠的技术保证。


“昆中医神经外科”的奋斗之路













1、2013年率先开展脑动脉瘤的外科治疗,为破裂动脉瘤患者争取了宝贵的抢救时间,昆山地区脑血管救治水平更上台阶;

2、2018年率先开展烟雾病的外科治疗,填补了昆山市的技术空白,目前科室经过五年的沉淀,该技术已日渐成熟,截止目前成功治疗数十例患者,无一例存在术后并发症;

3、2018年底率先开展脑动脉瘤、动静脉畸形的微创介入诊疗技术,在昆山地区率先进行临床应用和推广;

4、2018年率先开展神经内镜下微创治疗脑内血肿/脑室血肿,尤其新院区启用后复合手术室的应用,大大降低了手术风险,提高了我市脑出血急救水平;

5、2019年在上级医院的帮助下成功开展颈内动脉剥脱术,填补昆山地区颈内动脉狭窄外科治疗的空白。

6、2023年成功开展颅内神经刺激器植入术(DBS手术)并“开机”,填补昆山地区帕金森治疗的空白。

7、2024年2月在昆山地区率先开展SCS(脊髓电刺激)为意识障碍患者带来了新希望。

8、2024年4月神经外科启用昆山地区第一台神经导航,开展第一例神经导航下颅内肿瘤切除术。

9、2024年4月神经外科启用昆山地区第一台神经电生理监测仪,开展昆山地区第一例经神经电生理监测的面神经微血管减压术。

10、2024年4月神经外科首次在昆山开展应用颅内手术导航系统。以其定位精确和实时导航功能,尽最大可能减少手术的医源性损伤,保障微创手术的顺利实施。













昆山市中医医院神经外科简介

历史回眸

昆山市中医医院神经外科为苏州市级临床重点专科,始建于上世纪九十年代,历经二十余年的沉淀与积累,目前科室发展成为全面诊治神经系统疾病常见疾病和疑难危重症的一线临床科室。

自2013年科室开展动脉瘤夹闭手术以来,科室不断精进以颅内动脉瘤为代表脑血管疾病的诊疗,目前已诊治颅内动脉瘤约500余例,2017年12月以来朱胜强主任医师等多人陆续完成神经介入技术的进修培训与获得执业资质,并成功在昆山地区率先开展神经介入治疗颅内动脉瘤微创手术,目前积累诊疗病例170余例。2022年11月医院完成西部医疗中心搬迁工作,神经外科也迎来了更大发展机遇与挑战。

科室现状与人才梯队

科室现有专业医护人员40名,其中医生15名,护士25名。主任医师3名、副主任医师2名、国家认证专科医师3人、硕博8名。以中青年骨干医生为主,具有较强的临床实践能力和科教研能力。

医疗工作能力

科室年收治病人800余人次,年手术量300余台。科室拥有复合手术室,荧光显微镜、STORZ神经内镜、神经导航、术中电生理、术中CT、CUSA系统等专科高端设备。能够常规开展神经外科各级手术,包括:各类脑肿瘤手术(神经胶质瘤、脑膜瘤、听神经瘤等)、脑血管病手术(动脉瘤夹闭术、烟雾病搭桥术、颈内动脉剥脱术等)、功能性疾病手术(面神经、三叉神经微血管减压术等)及常规脑出血、颅脑损伤手术。特色开展多种微创手术,如显微镜、神经内镜下经鼻垂体瘤切除术、脑动脉瘤栓塞术、YL-1微创穿刺引流术等。科室在精于西医技术的同时,不断沉淀中医药特色文化,引进以养脑利肢汤、治痰醒脑汤、肿瘤方等为代表的中医经典成方8项,年使用量3000余方,广受患者及家属好评。

神经外科重视医疗、教学与科研的全面发展与提高。近年来开展新项目包括:YL-1外引流治疗慢性硬膜下血肿、动脉瘤夹闭手术、 经鼻垂体瘤切除等。每年接收约20余名来自南京中医药大学、山东中医药大学及安徽中医药大学等大学本科生教学工作。独立承担国家自然科学基金1项、苏州市级课题3项、昆山市级课题3项。近5年在国内核心期刊及统计源期刊发表论文30余篇,发表SCI文章10余篇。2023年获苏州市新技术引进一等奖。

图片

来源:昆山市中医医院


本帖评分记录
不再缄默 昆币 +1 -来自昆山论坛APP 2024-05-28
高维豪 昆币 +1 -来自昆山论坛APP 2024-05-27
123abc交通 昆币 +1 -来自昆山论坛APP 2024-05-27
3条评分昆币+3
爆料有奖!关注昆山论坛抖音号,抖音搜索“昆山论坛”,或搜索抖音号:ksbbs
 
帅哥离线超级机车
发帖
6109
昆币
10318 枚
沙发  发表于: 2024-05-27 , 来自:江苏省0==
主刀医生是中医院的,还是上海的。这点很重要
爆料有奖!关注昆山论坛抖音号,抖音搜索“昆山论坛”,或搜索抖音号:ksbbs
 
帅哥离线正阳桥边上
发帖
833
昆币
1533 枚
板凳  发表于: 2024-05-27 , 来自:江苏省0==
本地人大病谁在昆山看???
爆料有奖!关注昆山论坛抖音号,抖音搜索“昆山论坛”,或搜索抖音号:ksbbs
 
帅哥离线新时代养蜂人
发帖
10789
昆币
12797 枚
地板  发表于: 2024-05-28 , 来自:江苏省0==
爆料有奖!关注昆山论坛抖音号,抖音搜索“昆山论坛”,或搜索抖音号:ksbbs
 
快速回复
限76 字节
如果您提交过一次失败了,可以用”恢复数据”来恢复帖子内容
 
上一个 下一个