夜间模式
  • 13515阅读
  • 2回复

[百姓话题]什么?时隔3个月听说高龄老太为了另一侧髋部手术专程又再次打了“飞的” [复制链接]

上一主题 下一主题
美女离线你听我说
发帖
3747
昆币
129491 枚
只看楼主 使用道具 电梯直达
楼主  发表于: 2024-06-04 , 来自:江苏省0==

股骨头是髋关节的重要组成部分

在盆骨下方

大腿根部

起着承上启下的作用

图片

股骨头坏死又称为股骨头缺血性坏死或股骨头无菌性坏死,指股骨头血供受损或中断,导致骨髓成分及骨细胞死亡及随后的组织修复,继而导致股骨头结构改变及塌陷,引起患者髋关节疼痛及功能障碍的疾病,是造成髋关节伤残的主要疾病之一。

图片
图片

股骨头坏死主要会引起三大明显症状

图片

一、痛

骨头坏死了首要引起的就是痛,主要是胯、屁股、大腿根部疼痛,疼痛的程度会根据病情发展不断加重。

图片

二、活动不灵活

股骨头坏死后,髋关节的活动也会不像原来一样灵活,尤其做内旋、外旋、屈曲这几个动作最明显。

图片

三、骨骼变形

当股骨头坏死发展到比较严重的时候,股骨头甚至会塌陷,造成患肢缩短、骨盆倾斜等骨骼畸形。

权衡利弊最优解!

今年已经83岁高龄的黄阿嬷

患上“双侧股骨头坏死”

确诊需要换关节

但是在当地医院预约手术时间太久

手术风险大

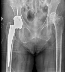
图片

▲患者术前影像学检查

于是在朋友的建议下来到了

昆山市中医医院关节骨科

图片

尹自飞副主任医师接诊了黄阿嬷

经过查体及完善术前检查后

决定为阿嬷行髋关节置换术

图片

▲患者术后影像学检查

术后阿嬷恢复良好

术后第二天下地行走

一周康复出院!

图片

时隔3月后

手术一侧关节活动已恢复如初

近日,黄阿嬷又住进了关节骨科

另一侧的髋关节也顺利完成了置换!

图片

引起股骨头坏死的病因很多!

根据病因不同可分为创伤行股骨头坏死和非创伤性股骨头坏死。创伤性股骨头坏死常见于股骨头颈骨折,髋关节脱位以及严重的髋关节损伤等均可引起股骨头坏死。非创伤性股骨头坏死常见于激素性股骨头坏死,酒精性股骨头坏死,以及减压病,镰刀细胞性贫血等导致的股骨头坏死。

图片

▲正常股骨头形状

图片

▲股骨头坏死的改变

股骨头坏死的治疗目标在于预防股骨头的塌陷,尽可能长时间保留生物髋关节,常见的治疗方法包括非手术治疗和手术治疗。

非手术治疗主要针对股骨头坏死范围比较小且股骨头形状未见塌陷的患者。

术治疗主要针对股骨头坏死明显并且保守治疗无效的患者。手术治疗主要有保髋手术和人工关节置换术,保髋手术主要针对年轻患者以及早期股骨头坏死的患者(ARCOⅠ~Ⅱ期)。人工关节置换主要针对股骨头塌陷严重且保髋治疗无效的患者。

图片

尹自飞副主任医师特别提醒:

高危人群需警惕,治疗不如早预防。

1、避免滥用糖皮质激素:如果您需要使用此类药物,请务必遵医嘱,需更加密切地关注髋部症状,并定期进行髋关节的影像学检查。

2、控制酒精摄入:过量饮酒会对血液循环和骨骼健康产生负面影响。

3、控制糖尿病和高血压:糖尿病和高血压也会影响到股骨头的血液供应。通过保持健康的生活方式,如均衡饮食、适度运动、定期体检等,有效控制糖尿病和高血压。

4、维持适当的体重:肥胖会增加关节的负荷,导致股骨头的血液供应不足。保持适当的体重可以减轻关节的压力。

5、适度运动:规律的有氧运动,如散步、游泳、骑自行车等,可以促进血液循环,增强肌肉力量。

6、避免外伤:避免剧烈的运动,尤其是对髋关节的冲击和压力较大的活动。

图片

市中医医院骨伤科中心介绍

昆山市中医院骨伤科成立于1988年,由吴门医派昆山闵氏伤科第4代传人闵华主任和昆山骨科创始人石庭芬主任共同创办,是昆山市最早成立病区的骨伤科。经过三十余年的发展,先后创建为昆山市首批重点专科、苏州市中医临床重点专科、江苏省中医临床重点专科单位,江苏省非物质文化遗产—吴门医派昆山闵氏伤科传承保护单位,现有4个病区,200张骨科床位,分设关节骨科、脊柱骨科、闵氏伤骨科、创伤骨科、手外科、足踝外科、运动医学(关节镜)等多个亚学科专业组,是周边地区规模最大,学科设立最完善的骨伤科诊疗中心之一。昆山市中医医院骨伤中心积极与国内著名骨科中心协作,2013年上海市第六人民医院骨科专家昆山会诊中心成立,2018年与上海华山医院共建复旦大学运动医学中心昆山分中心,上海和南京骨科专家长期来医院门诊、疑难病例会诊、疑难手术等业务技术指导和授课,为学科建设提供技术支持;昆山市中医医院骨伤中心还与鼓楼医院、江苏省中医院等名院长期合作,不断引进先进的骨科诊疗技术,培育自己的学科人才,真正实现让患者不出昆山,就能享受到最优质的医疗服务。

图片

来源:昆山市中医医院

本帖评分记录
1386239182 昆币 +1 -来自昆山论坛APP 2024-06-05
潘帅帅 昆币 +1 -来自昆山论坛APP 2024-06-04
浣纱94x 昆币 +1 -来自昆山论坛APP 2024-06-04
阿炳来了 昆币 +1 -来自昆山论坛APP 2024-06-04
4条评分昆币+4
爆料有奖!关注昆山论坛抖音号,抖音搜索“昆山论坛”,或搜索抖音号:ksbbs
 
美女在线梦下江南
发帖
12392
昆币
19605 枚
沙发  发表于: 2024-06-04 , 来自:未知0==
优秀
爆料有奖!关注昆山论坛抖音号,抖音搜索“昆山论坛”,或搜索抖音号:ksbbs
 
离线假勇士
级别: 昆山名人
发帖
21047
昆币
27267 枚
板凳  发表于: 2024-06-04 , 来自:江苏省0==
点赞中医医院骨伤科
爆料有奖!关注昆山论坛抖音号,抖音搜索“昆山论坛”,或搜索抖音号:ksbbs
 
快速回复
限76 字节
如果您在写长篇帖子又不马上发表,建议存为草稿
 
上一个 下一个