夜间模式
  • 15274阅读
  • 0回复

[百姓话题]肢跛行,麻木,发凉——警惕"下肢动脉血栓形成" [复制链接]

上一主题 下一主题
离线羡鱼
发帖
3186
昆币
62693 枚
只看楼主 使用道具 电梯直达
楼主  发表于: 2024-07-01 , 来自:江苏省0==

近日

昆山市中医医院血管外科

接诊了一位70岁患者老李

他因左下肢间歇性跛行一年

伴发凉、麻木1月就诊

老李平时身体状况就不好

多次因COPD(慢性阻塞性肺疾病)

至肺病科住院治疗

这次入院查体发现

左侧小腿中下段皮温低

左腘动脉、足背、胫后动脉未扪及搏动

足趾颜色紫绀,血运差

图片
图片

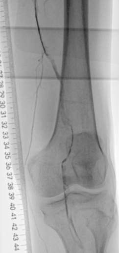
术前下肢动脉CTA提示:左下肢股、腘动脉长段闭塞,膝下动脉主干未见显影,可见少量侧支血流。

考虑为下肢动脉硬化闭塞症合并血栓形成,该疾病如不及时治疗,将面临截肢风险,甚至可能危及生命。

权衡利弊最优解!

血管外科姜坤主任团队仔细分析患者病情,该患者在动脉硬化闭塞基础上继发血栓形成,且血栓负荷量大,身体状况差,行麻醉及开放手术取栓的风险大,遂制定了微创腔内的手术方案,采用动脉机械血栓清除+血管成形术。

术中选用Rotarex导管行血栓清除,对管腔内残留的血栓放置溶栓导管,最后采用球囊扩张狭窄病变,管腔获得满意。

治疗后者患者肢体、疼痛缓解,无远端血管栓塞,无缺血再灌注损伤,3日后顺利出院。

图片


手术过程

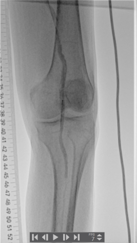
1.穿刺右侧股总动脉,“翻山”至对侧股总动脉,造影:股浅、股深动脉、腘动脉完全闭塞,膝下可见少量侧支动脉代偿。

图片

▲患者术中即时造影显示股浅、股深动脉完全栓塞

图片

▲腘动脉可见充盈缺损

图片

▲膝下主干动脉未见显影

图片

2.使用Rotarex导管由近至远进行血栓抽吸,少量血栓残留,置入溶栓管溶栓。

图片
图片
图片
图片

▲血栓清除后管腔获得较满意,仍有少量残留血栓

图片

3.溶栓+球囊成形术后造影:

图片
图片
图片
图片
图片

▲滑动查看更多

患肢动脉血栓清除,无明显残留狭窄,血流流速良好,足底动脉弓显影良好。


什么是下肢动脉硬化

闭塞症合并血栓形成?

在动脉管壁粥样硬化、狭窄基础上出现血流缓慢,继发远端血管血栓形成。部分患者慢性缺血,肢体建立了侧支循环,症状不典型, 容易延误诊治。

图片

也有部分患者病情发展迅速, 可表现为典型的“5P”症状,即疼痛(Pain)、麻木(Parasthesia)、运动障碍(Paralysis)、无脉(Pulselessness)和苍白(Pallor)。

该疾病的治疗较为棘手,手术时机和方式的选择非常关键,需及时开通动脉恢复血流,不然有肢体坏死,不得不面临截肢的结局。且管壁内情况多为粥样硬化斑块和新鲜血栓并存,术中操作存在管壁夹层、破裂出血和远端栓塞的风险。

图片

目前昆山市血管外科团队治疗该疾病主要分为开放手术(股动脉切开取栓术)及微创治疗(经皮机械血栓清除术、经导管接触性溶栓术、血管成形术)两大类。

其中开放手术(在腹股沟处作切口,采用Fogarty取栓球囊取出血栓,适合于身体一般状况较好,血栓负荷量大的患者),微创手术(经皮机械性血栓清除术或经皮导管接触性溶栓术,采用血栓清除导管清除血栓及溶栓管溶栓,此种手术方案相较于开放手术,减少了切口感染、出血、淋巴漏等风险,术中仅有一个穿刺点,愈合快,患者容易接受)。

图片
图片

▲Straub(Rotarex)血栓清除装置工作原理,及体内工作状态

昆山市中医医院血管外科简介

昆山市中医医院血管外科始终秉承医者仁心,尽力为患者解除病痛。现科室人员6名,包括副主任医师2名,主治医师1名,住院医师3名。年门诊量3000余人次,年出院病人1000余人,年手术人次1000余例。科室秉持现代外科微创理念,以病人为中心,积极开展各项血管外科新技术。科室常规开展大动脉疾病(胸腹主动脉瘤、胸腹主动脉夹层)的腔内手术治疗;外周动脉闭塞性疾病(下肢动脉硬化闭塞症、糖尿病足、血栓闭塞性脉管炎)的腔内及开放手术治疗;颈动脉、锁骨下动脉狭窄及闭塞性疾病的腔内和开放手术治疗;内脏动脉疾病(腹腔干动脉、肠系膜上动脉、脾动脉、肾动脉)的腔内手术治疗;下肢静脉闭塞性疾病(急性下肢深静脉血栓形成、下肢深静脉血栓后综合征、髂静脉压迫综合征、布-加综合征)的腔内手术治疗;下肢静脉曲张的微创手术治疗(腔内射频、激光、硬化剂注射等微创手术),并开展日间手术治疗;外周血管瘤的手术治疗;急性血管损伤的修复;下肢静脉功能不全、急性淋巴管炎的药物治疗等。

图片

来源:昆山市中医医院

本帖评分记录
不再缄默 昆币 +1 -来自昆山论坛APP 2024-07-02
高维豪 昆币 +1 -来自昆山论坛APP 2024-07-01
2条评分昆币+2
爆料有奖!关注昆山论坛抖音号,抖音搜索“昆山论坛”,或搜索抖音号:ksbbs
 
快速回复
限76 字节
如果您提交过一次失败了,可以用”恢复数据”来恢复帖子内容
 
上一个 下一个