夜间模式
  • 19270阅读
  • 11回复

[百姓话题]漫谈肿瘤丨得了肺癌还能活多久? [复制链接]

上一主题 下一主题
离线凉瞳
发帖
951
昆币
19012 枚
只看楼主 使用道具 电梯直达
楼主  发表于: 03-07 , 来自:江苏省0==
image.png

当"肿瘤"成为第一诊断,慌乱与迷茫常如潮水般涌来。但请相信,这并非命运的最终宣判。我们将带您重新认识这位"不速之客":化疗不是洪水猛兽,靶向治疗藏着基因密码,免疫治疗正唤醒人体自愈力,而中医千年智慧始终为生命续航。

肿瘤治疗早已不是非黑即白的战场,精准医学的显微镜下,每个病例都是独特的生命叙事。医患同心共筑防线,科学为伴贯穿防治,关注【漫谈肿瘤】,让我们以科学为舟,穿越认知的迷雾海;以希望为帆,驶向健康的新航程。


得了肺癌还能活多久?


作为一名肿瘤科医生

在日常诊疗过程中需面临

患者及家属许多形形色色的问题

然而大家最关心的问题就是

“得了肿瘤能活多久?”

这让我想起了两年前诊治的

一位肺癌患者


她是一位刚满40岁的年轻妈妈

因为出现双下肢乏力、影响行走前来就诊

经过一系列检查确诊为

肺腺癌伴颅内、多发淋巴结转移

对于两个孩子的母亲来说

被确诊为肿瘤已是晴天霹雳

更何况是合并脑转移的晚期肺癌


晚期!

多处转移!

我想大部分群众的第一反应

心里应该已经把这一生命画上了句号!

谈癌色变

患者及家属心理肯定承受了巨大压力

幸运的是大家都没想过放弃

经过基因检测

提示这位患者的基因

存在EML4-ALK 融合

这个结果给我们医生的治疗带来巨大信心

也给这位患者带来了生的希望


ALK融合在中国非小细胞肺癌人群中的突变率虽为6%,但却是医学界俗称的“钻石”靶点。

从第一代ALK抑制剂克唑替尼,第二代阿来替尼、色瑞替尼的问世,到目前第三代ALK抑制剂洛拉替尼已经上市,短短十年时间,靶向药物更新迭代,治疗效果更是振奋人心。

于是

我们给这位年轻患者口服了靶向药

短短一个月

患者肺部和脑部肿瘤就出现明显退缩

随访至今

肺部、颅内、可见淋巴结、腹腔等

多处病灶完全缓解

患者日常生活无异于常人

我们对她能生存5年,甚至10年充满信心

可能更长

……

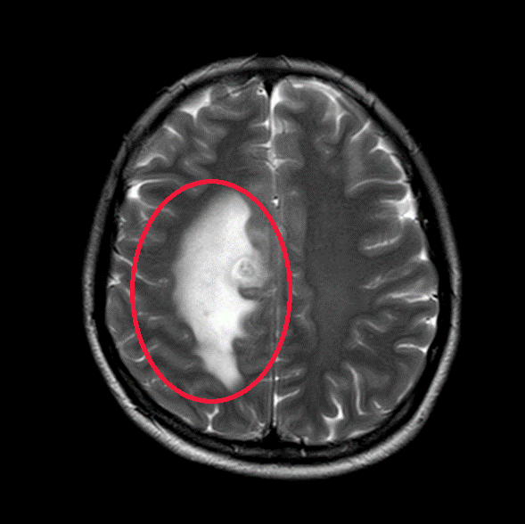
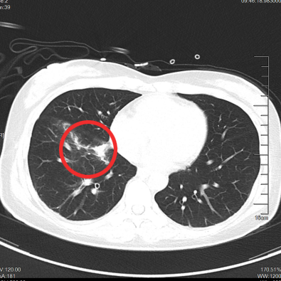
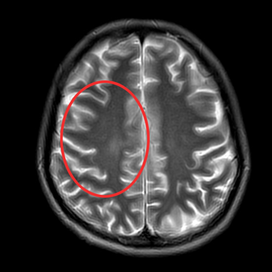
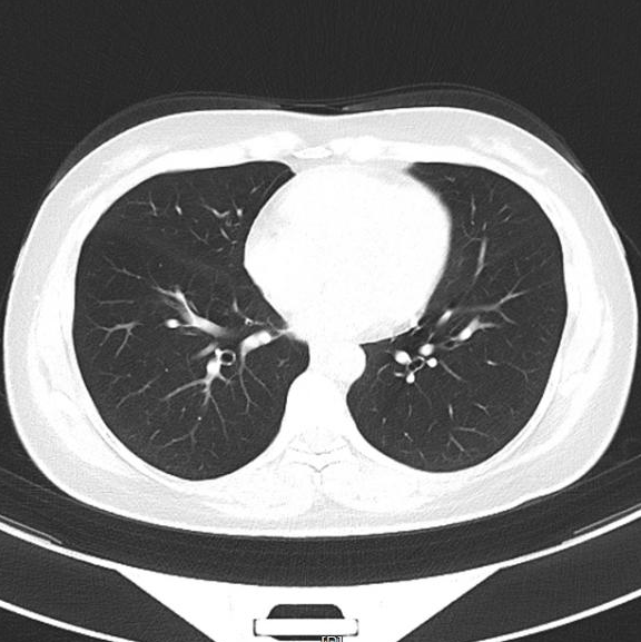
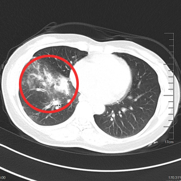
▲治疗前

▲治疗后1月

▲治疗后2年半

▲治疗前

▲治疗后1月

▲治疗后2年半

2024年2月2日,IARC(国际癌症研究机构)最新发布的数据显示,在2022年,肺癌新发病例高达248.1万例,占全球癌症新增病例的12.4%。

这也是肺癌在2020年被乳腺癌超越后,再次成为全球第一大癌症。同时,肺癌也是最“致命”的癌症。在2022年,它一共造成181.7万人死亡,占所有癌症死亡病例的18.7%,在所有恶性肿瘤死亡顺位中排第1位。

中国肺癌疾病负担沉重,全球超过三分之一的肺癌发病和死亡发生在我国。基于人群肿瘤登记处生存率结果显示,2012—2015年,我国肺癌5年生存率仅为19.7%。

那么

得了肺癌

在科技发展取得巨大进步的今天

究竟可以活多久呢

真的就直接被判“死刑”吗?



早期肺癌可以活多久?

肿瘤的分期,直接影响了患者的预后。研究数据显示,早期肺癌(I-Ⅱ期、Ⅲ期可手术者)患者接受根治术后90%以上的患者可以获得长期生存。

这也提示大家,要重视每年的体检,肺癌是可防可治的疾病。在此,建议以下高风险人群定期进行肺癌筛查:

a)吸烟包年数不少于30(包年),包括曾经吸烟不少于30(包年),但戒烟不足15年;

b)与 a)共同生活或同室工作被动吸烟(吸二手烟)超过20年;

c)患有慢性阻塞性肺疾病;

d)有职业暴露史不少于一年,包括暴露于石棉、氡、铍、铬、镉、硅、煤烟和煤烟灰;

e)有一级亲属确诊肺癌。

注1:吸烟包年数=每天吸烟的包数(每包20支)x吸烟年数

注2:一级亲属指父母、子女及兄弟姐妹(同父母)



晚期肺癌可以活多久?

如果发现肺癌的时候已经是晚期了,还能活多久呢?

在上世纪90年代,化疗是人类抗击肿瘤的唯一手段。尽管第三代化疗药物:多西他赛、紫杉醇、吉西他滨等在临床上得到了广泛使用,但是晚期肺癌患者的平均总生存时间只有8—12个月(不针对个别案例)。

到了2005年,第一个靶向药物“易瑞沙”上市,肺癌的治疗开始进入精准治疗的时代,化疗逐步退居二线。

2015年,PD-1/PDL-1面世,肺癌的治疗开始进入免疫时代,它的机理是通过激活或增强免疫系统功能,帮助识别和消灭癌细胞。

至此,化疗、靶向治疗、免疫治疗开始成为晚期肺癌患者抗击肿瘤的三大武器。那么,在医疗快速的发展下,得了晚期肺癌,究竟可以活多久?除了确诊时候的肿瘤分期,肺癌患者的生存时间还取决于患者的基因分型,在此做常见分型的简单介绍。

注:中国非小细胞患者中,常见的驱动基因包括EGFR、KRAS、ALK、HER2、RET、BRAF等,其中EGFR突变占比50.3%;在不吸烟的肺腺癌患者中,EGFR突变率较高,占比74.5%。


EGFR突变型

EGFR(表皮生长因子受体)突变,是第一个被确认的肺癌驱动基因,常见于非小细胞肺癌,尤其是腺癌,突变导致EGFR持续激活,促进癌细胞生长。“易瑞沙”也是第一个肺癌治疗领域的靶向药物。随着它在临床上的应用,以及耐药基因的发现,第三代药物如奥西替尼、阿美替尼、伏美替尼都已广泛应用于临床。至此,EGFR突变型肺癌患者的总生存时间大大延长。


ALK融合型

ALK(间变性淋巴瘤激酶)基因融合是第二个被确认的肺癌驱动基因,其功能是参与细胞信号传导。ALK基因重排多见于非小细胞肺癌,尤其是年轻非吸烟患者,导致ALK蛋白异常激活。在EGFR靶向药物成功研发的基础上,以ALK为靶点的小分子药物快速上市,从第一代ALK抑制剂克唑替尼,第二代阿来替尼、色瑞替尼的问世,到目前第三代ALK抑制剂劳拉替尼已经上市,短短十年时间,ALK靶向药物的研发,已经经历了三代,相比以往其他领域新药研发到进入临床的时间,这是一个快速发展的时代。现有的临床研究显示,ALK阳性的晚期肺癌患者平均生存期预计超过10年!真正做到了将晚期肺癌患者向慢性疾病管理转化(上文提到的病例就是该基因分型)。


PDL-1阳性

对于EGFR/ALK基因阴性的肺癌患者,有相当一部分可能出现PD-L1(程序性死亡配体-1)阳性表达。PD-L1是一种免疫检查点蛋白,通过与免疫细胞(如T细胞)上的PD-1(程序性死亡受体-1)结合,抑制免疫细胞的活性,帮助肿瘤细胞逃避免疫系统的攻击。PD-L1阳性意味着肿瘤细胞可能通过PD-1/PD-L1通路抑制免疫反应,从而逃避免疫系统的清除。PD-L1表达水平越高,提示接受免疫治疗的效果可能更好。自2015年免疫治疗开始真正进入临床应用以来,免疫疗法逐步在各个瘤种中显示出卓越的成效,已成为肿瘤内科最有潜力的疗法。这使得为未来晚期肿瘤转向慢性疾病管理,带来了新希望。


全阴型

如若没有发现阳性驱动基因,也没有PD-L1阳性表达,是否除了化疗,我们就束手无策了?不,在医疗快速发展的大时代之下,我们发现,联合治疗比单打独斗的效果是要好的。化疗联合抗血管生成药物,化疗联合免疫治疗等,这些联合疗法的使用,都使得晚期肺癌患者获得了巨大的生存获益。未来,科学家在和时间赛跑,不断地研发新的治疗药物。肺癌患者,也应该和自己赛跑,听从科学,增强信心,在医疗指引下,战胜病魔!


随着二代测序技术在临床上的广泛应用,将有越来越多的驱动基因被发现,越来越多的药物被研发,肺癌患者抗击肿瘤的武器也越来越多。

未来,我们期待不再有人问:得了肺癌可以活多久?这就好比不会有人问,得了高血压可以活多久了。

最后友情提示:肺癌早诊早治尤其关键,呼吁大家重视体检及肺癌早期筛查!


参考文献:

1. 2025CACA肺癌指南。

2. 2024CSC0肺癌指南。

3. 2024NCCN肺癌指南。


《漫谈肿瘤》科普小分队

科普医生

陆 琼

肿瘤内科 副主任中医师

硕士研究生,中国营养学会中西医结合分会委员;江苏省中西医结合学会肿瘤专业委员会青年委员;江苏省中医药学会膏方专业委员会青年委员;苏州市抗癌协会科普防治专业委员会委员;昆山市医学会肿瘤专业委员会委员;昆山市中医药学会中医内科专业委员会委员兼秘书。擅长:中西医结合治疗恶性肿瘤,尤擅长对胃癌、肠癌、肺癌、乳腺癌的中西医综合治疗;并对中医药减轻放疗、化疗不良反应方面有独到的经验和体会。门诊时间:每周三。

审核专家

杨文娟

肿瘤内科 主任中医师

医学博士,师从岐黄学者、全国名中医吴勉华教授。中国老年学和老年医学学会肿瘤康复分会委员,江苏省中医药学会内科专业委员会青年委员,江苏省中医药学会痛症专业委员会委员,江苏省老年学学会中西医结合诊疗专业委员会委员,苏州市中医药学会浊毒专业委员会副主任委员,苏州市中西医结合放疗专业委员会青年委员,苏州中医药学会中医肿瘤专业常务委员,苏州市医学会肿瘤学会临床研究学组成员,昆山市医学会肿瘤专业委员会委员。擅长:主要从事恶性肿瘤的中西医结合治疗,尤擅长胃癌、肠癌、肺癌、宫颈癌等消化系统、呼吸系统及妇科肿瘤的中医药和中西医结合治疗;并对于中医药防治放、化疗及靶向治疗不良反应亦有深入的研究。门诊时间:每周一。


来源:昆山市中医医院


本帖评分记录
不再缄默 昆币 +1 -来自昆山论坛APP 03-08
蓝天明光 昆币 +1 -来自昆山论坛APP 03-07
2条评分昆币+2
爆料有奖!关注昆山论坛抖音号,抖音搜索“昆山论坛”,或搜索抖音号:ksbbs
 
帅哥离线毛毛1234577
发帖
10483
昆币
18695 枚
沙发  发表于: 03-07 , 来自:江苏省0==
一个亲戚花了上百万,最后没留住,
楼中楼
  • 2025-03-09 09:36 水瓶座girl: 钱可以延期,但是不能保命
爆料有奖!关注昆山论坛抖音号,抖音搜索“昆山论坛”,或搜索抖音号:ksbbs
 
美女离线lixch1982
发帖
971
昆币
2784 枚
板凳  发表于: 03-08 , 来自:北京市0==
姐姐2022年初体检无不适查出肺腺癌,积极治疗,先是靶向药,后配合建议进行放疗一次,化疗5次,后骨转移和脑转移,癌细胞侵占脑部失去进食能力,2023年底去世,终年44岁。后期陪伴去医院听诊断,同诊疗室的医生也先后看了4个老家来这个权威肿瘤医院的诊断,听了4个我姐经历过的阶段。医生是会告知你还能有的诊治方案,给人希望,也可能后面是失望,万般皆是命。后来权威医院判断脑梗,转院到脑部医院再检查,告知应该还是癌细胞侵占脑部,不是脑梗。姐姐一直很配合很积极治疗,她说每次化疗很难受难受,她都坚持了。再后来和医药代表聊,其听医生讲肺腺癌大多大致就是1-2年。中间的放化疗反应很难受,恶心,头晕,脱发。靶向药也配合吃,姐姐说等控制稳定了和我外出旅行,没有然后了。每次化疗都告知有效果
爆料有奖!关注昆山论坛抖音号,抖音搜索“昆山论坛”,或搜索抖音号:ksbbs
 
帅哥离线找个贤惠的
发帖
822
昆币
1169 枚
地板  发表于: 03-10 , 来自:未知0==
现在年轻人烟民很多,搞得很多被动吸烟的,马路上,人行道上,外卖哥大都吸烟,等公共场合很多,污染很大
爆料有奖!关注昆山论坛抖音号,抖音搜索“昆山论坛”,或搜索抖音号:ksbbs
 
离线别来无样
发帖
785
昆币
1320 枚
4楼 发表于: 03-10 , 来自:江苏省0==
回 找个贤惠的 的帖子
找个贤惠的:现在年轻人烟民很多,搞得很多被动吸烟的,马路上,人行道上,外卖哥大都吸烟,等公共场合很多,污染很大 (2025-03-10 10:37)

烟民比以前少吧,但烟民的抽烟量大。
爆料有奖!关注昆山论坛抖音号,抖音搜索“昆山论坛”,或搜索抖音号:ksbbs
 
离线集思广益
发帖
6947
昆币
11519 枚
5楼 发表于: 03-10 , 来自:江苏省0==
回 找个贤惠的 的帖子
找个贤惠的:现在年轻人烟民很多,搞得很多被动吸烟的,马路上,人行道上,外卖哥大都吸烟,等公共场合很多,污染很大 (2025-03-10 10:37)

和吸烟关系不大。很多一辈子老烟枪,也不会癌变。癌变是细胞变异,
爆料有奖!关注昆山论坛抖音号,抖音搜索“昆山论坛”,或搜索抖音号:ksbbs
 
离线集思广益
发帖
6947
昆币
11519 枚
6楼 发表于: 03-10 , 来自:江苏省0==
回 lixch1982 的帖子
lixch1982:姐姐2022年初体检无不适查出肺腺癌,积极治疗,先是靶向药,后配合建议进行放疗一次,化疗5次,后骨转移和脑转移,癌细胞侵占脑部失去进食能力,2023年底去世,终年44岁。后期陪伴去医院听诊断,同诊疗室的医生也先后看了4个老家来这个权威肿瘤医院的诊断,听了4个我姐经历过的阶 .. (2025-03-08 20:30)

化疗肯定有效果,只是化疗后,会反弹。化疗类似于止疼药,你吃就不疼,但停了一样疼。
化疗癌就会缩小,但一但停了,有会长了
爆料有奖!关注昆山论坛抖音号,抖音搜索“昆山论坛”,或搜索抖音号:ksbbs
 
离线xianmp3
发帖
4902
昆币
4763 枚
7楼 发表于: 03-10 , 来自:江苏省0==
回 集思广益 的帖子
集思广益:和吸烟关系不大。很多一辈子老烟枪,也不会癌变。癌变是细胞变异, (2025-03-10 11:29)

幸存者偏差
爆料有奖!关注昆山论坛抖音号,抖音搜索“昆山论坛”,或搜索抖音号:ksbbs
 
离线集思广益
发帖
6947
昆币
11519 枚
8楼 发表于: 03-10 , 来自:江苏省0==
回 xianmp3 的帖子
xianmp3:幸存者偏差 (2025-03-10 11:39)

也有患者偏差,很多患者烟酒不沾。
爆料有奖!关注昆山论坛抖音号,抖音搜索“昆山论坛”,或搜索抖音号:ksbbs
 
离线xianmp3
发帖
4902
昆币
4763 枚
9楼 发表于: 03-10 , 来自:江苏省0==
回 集思广益 的帖子
集思广益:也有患者偏差,很多患者烟酒不沾。 (2025-03-10 11:58)

從患癌概率上看,吸煙酗酒的遠遠大於煙酒不沾的
國外的煙盒看著觸目驚心,咱的看著賞心悅目!
爆料有奖!关注昆山论坛抖音号,抖音搜索“昆山论坛”,或搜索抖音号:ksbbs
 
快速回复
限76 字节
批量上传需要先选择文件,再选择上传
 
上一个 下一个