夜间模式
  • 16990阅读
  • 6回复

[百姓话题]“母亲端碗的这一刻,我哭了”,昏迷患者3个月后被这项技术唤醒 [复制链接]

上一主题 下一主题
离线倔老头
级别: 昆山新人
发帖
181
昆币
12731 枚
只看楼主 使用道具 电梯直达
楼主  发表于: 2025-03-10 , 来自:江苏省0==


随着神经科学领域的飞速发展,脊髓电刺激术(SCS)已成为治疗严重意识障碍(DOC)的前沿技术。

昆山市中医医院神经外科功能亚专科团队紧跟国际趋势,已于2024年在昆山地区率先开展SCS技术,通过精准的电极植入与个性化程控,为长期处于微小意识状态(MCS)的患者点燃生命复苏的希望。

对于那些深受意识障碍困扰的患者和他们的家人来说,脊髓电刺激可能是一种新的曙光,为他们重拾意识、恢复生活带来新的可能性。该技术以非破坏性、创伤小、疗效可评估等优势,成为脑损伤后促醒领域的里程碑式突破。


从生命停滞到涅槃重生

一场车祸后的至暗时刻

68岁的张女士(化名)

因严重车祸导致颅内出血及全身多发伤

急诊行开颅血肿清除术后

生命体征虽稳定

却陷入微小意识状态-(MCS-)

术后3个月

其意识水平仍停滞GCS:5T(M3VTE2)

仅能通过疼痛刺激短暂睁眼

但无法言语交流,生活完全依赖护理

儿子回忆道

“母亲像被锁在无声的牢笼里

我们只能眼睁睁看着她挣扎。”

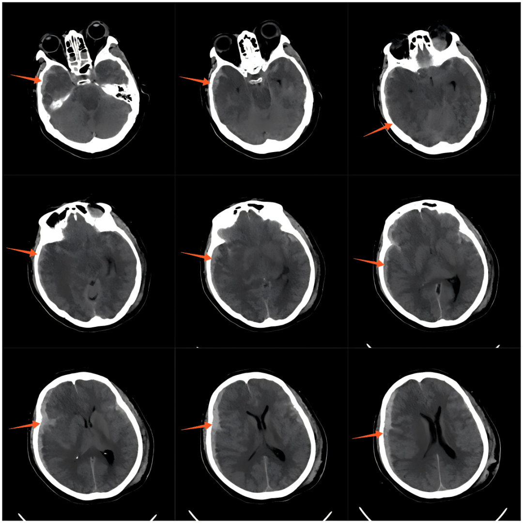
▲急诊术前CT影像

▲急诊术后CT影像


黑暗中的曙光:SCS技术介入

几周后,神经外科陈龙主任医师与陆维主治医师在王文华主任的指导下,为张女士实施临时脊髓电刺激术(ST-SCS)。

术中,电极被精准植入颈髓C2-C4水平硬膜外,通过脉冲刺激激活上行网状系统,促进脑皮层代谢与电活动。

▲神经外科团队为张女士行临时脊髓电刺激术(ST-SCS)


术后10天

张女士的意识状态显著改善


量表评分:GCS评分从5T(M3VTE2)升至7T(M5VTE2)1,CRS-R量表2评估确认其进入微小意识状态(MCS);

可完成视物追踪、摆弄物体等行为,家属首次感受到了“母亲似乎在与我们互动”。

▲术前

▲术后

1、GCS(格拉斯哥昏迷量表):国际通用评估意识障碍严重程度的工具,通过睁眼反应、语言反应和运动反应三项指标综合评分。

2、CRS-R(昏迷恢复量表-修订版):专用于评估意识障碍患者神经行为功能的标准化工具,可区分微小意识状态与植物状态。


一个月后,在王文华主任的指导下陈龙主任医师与陆维主治医师为张女士在全麻下行SCS永久植入术

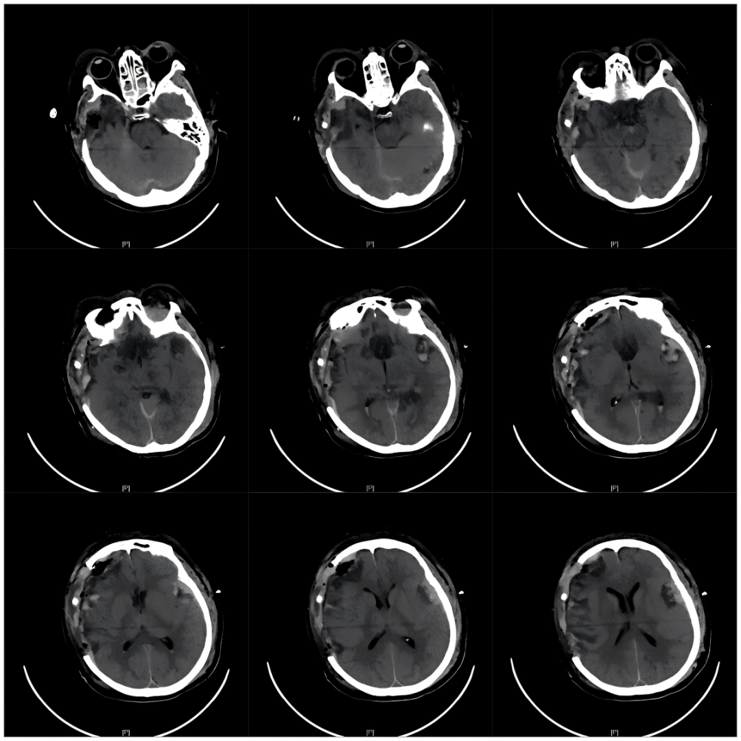
▲术后CT:电极植入位置精准

一年后随访显示,张女士的GCS评分已提升至11分(M6V1E4),根据CRS-R量表:患者已经脱离微小意识状态(eMCS)。

▲患者目前已脱离微小意识状态,正在行康复锻炼

目前张女士已经能够自主进食、遵嘱完成动作,甚至呼唤家人的名字。“母亲端碗吃饭的那一刻,我忍不住哭了……感谢昆山市中医医院神经外科,是你们让我母亲获得新生!”儿子感慨道。



什么是SCS技术?

“现代医学不仅是‘救命’,更要救的是生活质量。”陈龙主任强调,随着现代神经重症救治水平的提升,越来越多的脑出血、脑损伤危重症患者的有幸存活,以严重意识障碍(DOC)状态生存的患者数量激增。脊髓神经电刺激术的优势在于:1、不破坏神经结构;2、手术风险和创伤相对较小;3、可通过分步骤治疗评估患者疗效,先进行一期测试;4、若症状改善(意识水平提高),再行二期永久植入;5、可通过体外程控进行SCS系统参数调整。

王文华主任表示:“SCS并非简单‘通电’,而是通过科学调控唤醒沉睡的神经网络。”SCS是一项成熟的手术,目前已较为明确SCS(脊髓电刺激)对昏迷促醒是有效的。SCS(脊髓电刺激)是通过在颈髓C2-C4水平硬膜外放置刺激电极,脉冲刺激经上行网状激活系统传至大脑皮层,增加脑局部葡萄糖代谢率及脑血流,促进兴奋性递质释放,增强意识冲动及脑电活动,最终达到促醒的目的。“这项技术为脑损伤患者提供了‘二次生命’的可能,更是对生命尊严的深刻诠释。”王文华主任还指出:“SCS(脊髓电刺激)近年来在神经学和康复医学领域备受关注。目前SCS的适应征较多,包括:1、促醒;2、缓解疼痛(带状疱疹等);3、改善肌肉痉挛(脑出血或脑外伤后);4、防止肌肉萎缩;5、增强肌力(脑出血或脑外伤后偏瘫);6、改善二便控制;7、糖尿病足等。”

未来,昆山市中医医院神经外科团队以SCS技术为刃,劈开意识障碍的迷雾,让更多“沉睡”的生命重新感知世界的温度。这不仅是医学的进步,更是对“生命至上”理念的庄严践行。我们相信随着技术的不断完善,会有更多患者将有机会跨越意识深渊,拥抱新生。


本期作者


陆维 主治医师

医学硕士,中国民族医药学会外科分会理事;主要擅长颅内肿瘤的诊治尤其是脑胶质瘤的诊治,三叉神经痛、面肌痉挛及帕金森病的手术治疗,以及对癫痫的中西整合治疗有独特疗效。



审核专家


陈 龙 主任医师

神经外科副主任

医学博士,副教授,硕士生导师,苏州市青年骨干人才,金杏领军人才培养对象,2022年县域好大夫。中国神经科学学会神经肿瘤分会委员中国研究型医院脑血管组委员环太湖创伤中心联盟第一届常委;江苏省创伤医学专业委员会创伤组委员苏州市创伤医学专业委员会委员;苏州市卫生健康委员会创伤救治专业医疗质量控制中心成员;中国神经科学学会神经肿瘤分会委员中国研究型医院脑血管组委员环太湖创伤中心联盟第一届常委;江苏省创伤医学专业委员会创伤组委员苏州市创伤医学专业委员会委员。

擅长:颅内肿瘤的诊治尤其脑胶质瘤的诊治、三叉神经痛及面肌痉挛、帕金森和特发性震颤 DBS 手术治疗、脊髓电刺激( scs )植物人促醒、糖尿病足及卒中后肢体疼痛等脑血管疾病的诊断与治疗、颅脑外伤、脑积水的诊疗。

门诊时间:专科门诊,周一上午;三叉神经痛/面肌痉挛门诊,每周一下午。




王文华 主任医师

神经外科主任

硕士研究生导师,中国中西医结合学会创伤分会委员;中国研究型医院神经外科分会神经创伤委员会委员;中国民族医学会外科分会常务理事;江苏省中西医结合学会神经外科分会委员;苏州市医学会神经外科分会常务委员;苏州市医学会神外专委会高血压性脑出血专病学组组长;昆山市医学会神经外科分会主任委员。

擅长:脑外伤、脑肿瘤、脑血管病、头痛、癫痫、面肌痉挛、三叉神经痛等功能性神经疾病

门诊时间:每周二上午。





“昆中医神经外科”的奋斗之路

昆山市中医医院神经外科在十年前已开展颅内动脉瘤的外科手术治疗,是昆山地区最早开展该类技术的专科,经过十年的积累,市中医医院神经外科已成为昆山地区神经外科领域领军科室。













一、2013年率先开展脑动脉瘤的外科治疗,为破裂动脉瘤患者争取了宝贵的抢救时间,昆山地区脑血管救治水平更上台阶;

二、2018年率先开展烟雾病的外科治疗,填补了昆山市的技术空白,目前科室经过五年的沉淀,该技术已日渐成熟,截止目前成功治疗数十例患者,无一例存在术后并发症;

三、2018年底率先开展脑动脉瘤、动静脉畸形的微创介入诊疗技术,在昆山地区率先进行临床应用和推广;

四、2018年率先开展神经内镜下微创治疗脑内血肿/脑室血肿,尤其新院区启用后复合手术室的应用,大大降低了手术风险,提高了我市脑出血急救水平;

五、2019年在上级医院的帮助下成功开展颈内动脉剥脱术,再次填补昆山地区颈内动脉狭窄外科治疗的空白。

六、2023年成功开展首例神经内镜下视神经减压术;

七、2023年成功开展颅内神经刺激器植入术(DBS手术)并“开机”,填补昆山地区帕金森治疗的空白;

八、2024年在昆山地区率先开展SCS(脊髓电刺激)为意识障碍患者带来了新希望。













来源:昆山市中医医院


本帖评分记录
倾城风雪 昆币 +1 -来自昆山论坛APP 2025-03-11
qdk 昆币 +1 -来自昆山论坛APP 2025-03-11
风之子2046 昆币 +1 -来自昆山论坛APP 2025-03-11
秋语菲菲 昆币 +1 -来自昆山论坛APP 2025-03-11
金箭小鲍 昆币 +1 -来自昆山论坛APP 2025-03-11
不再缄默 昆币 +1 -来自昆山论坛APP 2025-03-11
ksfzq 昆币 +1 -来自昆山论坛APP 2025-03-11
高维豪 昆币 +1 -来自昆山论坛APP 2025-03-10
好人一 昆币 +1 -来自昆山论坛APP 2025-03-10
9条评分昆币+9
爆料有奖!关注昆山论坛抖音号,抖音搜索“昆山论坛”,或搜索抖音号:ksbbs
 
帅哥离线双鱼猫咪
发帖
4926
昆币
9404 枚
沙发  发表于: 2025-03-10 , 来自:江苏省0==
爆料有奖!关注昆山论坛抖音号,抖音搜索“昆山论坛”,或搜索抖音号:ksbbs
 
帅哥离线。枯木
发帖
2042
昆币
2289 枚
板凳  发表于: 2025-03-10 , 来自:江苏省0==
爆料有奖!关注昆山论坛抖音号,抖音搜索“昆山论坛”,或搜索抖音号:ksbbs
 
帅哥离线亮剑中原
发帖
9188
昆币
11750 枚
地板  发表于: 2025-03-11 , 来自:江苏省0==
不错不错
爆料有奖!关注昆山论坛抖音号,抖音搜索“昆山论坛”,或搜索抖音号:ksbbs
 
帅哥离线王乾坤
级别: 禁止发言
发帖
3658
昆币
31 枚
4楼 发表于: 2025-03-11 , 来自:江苏省0==
用户被禁言,该主题自动屏蔽!
爆料有奖!关注昆山论坛抖音号,抖音搜索“昆山论坛”,或搜索抖音号:ksbbs
 
帅哥离线jztlqyd007

发帖
15896
昆币
54726 枚
5楼 发表于: 2025-03-11 , 来自:江苏省0==
          
爆料有奖!关注昆山论坛抖音号,抖音搜索“昆山论坛”,或搜索抖音号:ksbbs
 
发帖
1037
昆币
1779 枚
6楼 发表于: 2025-03-11 , 来自:江苏省0==
这样的手术不便宜吧?3个月下来没有一百万也至少有大几十万
本帖评分记录
柳云飞 昆币 +1 -来自昆山论坛APP 2025-03-14
飘过无云 昆币 +1 -来自昆山论坛APP 2025-03-11
2条评分昆币+2
爆料有奖!关注昆山论坛抖音号,抖音搜索“昆山论坛”,或搜索抖音号:ksbbs
 
快速回复
限76 字节
如果您在写长篇帖子又不马上发表,建议存为草稿
 
上一个 下一个