夜间模式
  • 677阅读
  • 0回复

[随便说说]这种“伪装”成湿疹的乳腺癌,别大意! [复制链接]

上一主题 下一主题
美女离线灰羽天使
发帖
2070
昆币
37776 枚
爆料
1
只看楼主 使用道具 电梯直达
楼主  发表于: 昨天 16:10 , 来自:江苏省0==

最近一个月,医院甲状腺乳腺外科连续收治了18例乳腺癌患者。其中,63岁的张阿姨(化名)病情极具迷惑性:她一直认为乳头红肿、瘙痒是普通“湿疹”。

这种皮肤改变并不是普通的皮肤瘙痒。由于病症表现为皮肤红肿和破溃,极易导致患者忽视严重性。直到一年后,张阿姨来到昆山市中医医院甲状腺乳腺外科就诊,才发现患上的是一种特殊的乳腺癌。

图片



一个被忽视一年的“小毛病”

图片

一年前,63岁的张阿姨发现左侧乳头、乳晕区域皮肤反复出现糜烂、渗液、结痂,还伴有明显的瘙痒。起初,她以为只是普通的皮肤湿疹,便自行去药店买了些湿疹药膏涂抹。

一开始,涂药后症状似乎稍有缓解,但没过多久,同样的位置再次破溃、渗水。反反复复持续了一年,病灶不仅没有愈合,乳头周围的皮肤还逐渐变得粗糙、增厚,甚至出现了轻微的凹陷。

直到近期,在家人的反复催促下,张阿姨才来到医院甲状腺乳腺外科就诊。

图片

x


图片

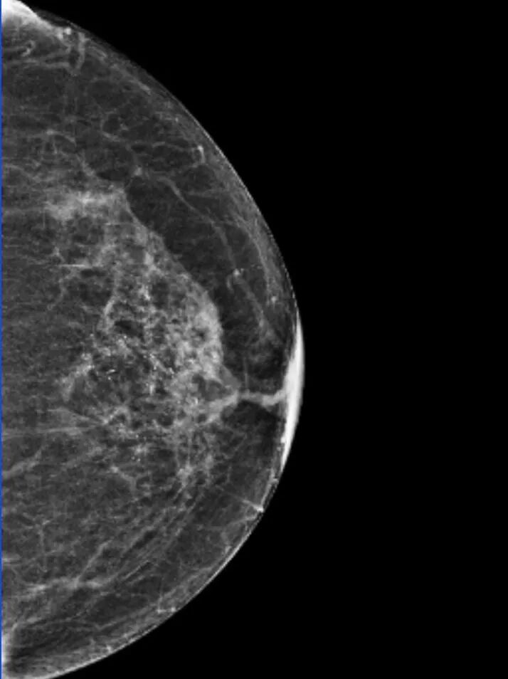
超声描述:左乳乳晕区可见一大小21.5x5.x9.5mm的低回声区,形态不规则,平行位,边缘不光整,内部回声不均匀,可见导管样回声及点状强回声。 CDFI 示该团块内血供不丰富。

超声诊断:左乳乳晕区低回声区(非肿块型占位可能), BI - RADS IVA ,建议穿刺活检。

图片
图片

钼靶提示:左乳上部及中央区段样分布细小多形性钙化灶,拟 BI - RADS 4b类,请结合临床,建议活检;

左乳中央区前带局灶性不对称, BI - RADS 0类,建议 MR 检查;

左乳头凹陷。




图片

▲病例报告


经过详细查体及病理活检

张阿姨被确诊为

湿疹样乳腺癌(乳腺Paget病)

图片



什么是湿疹样乳腺癌?

图片

湿疹样乳腺癌,医学上称为乳腺Paget病是一种特殊类型的乳腺癌。它往往不表现为明显的乳房肿块,而是以乳头、乳晕区域的皮肤改变为主要特征。

由于它的外观与皮肤湿疹极为相似

误诊率极高

很多患者像张阿姨一样

将其当作普通皮肤病治疗

从而延误了最佳治疗时机

图片

湿疹样乳腺癌的典型表现包括

x


  1. 顽固性湿疹:乳头、乳晕区反复出现红斑、糜烂、渗液、结痂,经久不愈。

  2. 瘙痒或烧灼感:常伴有难以忍受的瘙痒或刺痛感。

  3. 皮肤改变:随着病情发展,乳头可能出现凹陷、扁平、溃烂,甚至完全损毁;乳晕皮肤可能变得粗糙、增厚,如橘皮样。

  4. 可能伴有肿块:部分患者乳头乳晕病变区域下方或乳房深处可触及肿块;也有部分患者(如张阿姨早期)仅存在皮肤改变。

图片
  • 关键区别在于:普通的皮肤湿疹通过外用激素药膏通常能在短期内好转或愈合;而湿疹样乳腺癌对常规湿疹治疗无效,病灶会持续存在并缓慢进展。

  • 数据背后的警示:乳腺癌离我们并不远。如果您或您的母亲、长辈,出现乳头乳晕区域的经久不愈的湿疹、脱屑、糜烂,即使乳房内摸不到肿块,也一定要及时到乳腺专科就诊。这很可能是乳腺癌的“伪装”。




这些患者给我们的一些启示

图片

结合本月确诊的18例病例看,有两点提醒需要广大女性朋友特别注意:

x


  1. 关于年轻群体:早期发现能最大程度保全身体,在这些患者中,最年轻的仅32岁。由于年轻女性群体往往更有健康意识,发现病情的时间相对较早。目前昆山市中医医院甲状腺乳腺外科50岁以下患者的保乳率已超过70%。这意味着,只要通过规范化治疗,在获得良好预后的同时,她们依然能保住身体的完整与自信。

  2. 关于老年群体:要打破“绝经即安全”的误区在60岁以上的8位老年患者中,不少人认为绝经后就不会再患乳腺癌。有人发现乳房肿块后,误认为是单纯的“发福”或老年自然变化。由于怕麻烦子女或对医院有顾虑,有人拖延了数月甚至一年。这导致确诊时病情相对复杂,保乳的机会也大大减少。

图片

乳腺癌的筛查和预防

不分年龄

不分症状典型与否

给广大女性的三点建议

图片

1. 学会“看”与“摸”

建议女性每月进行一次乳腺自我检查。不仅要触摸有无肿块,还要仔细观察:

  1. 乳头、乳晕有无糜烂、脱屑、结痂?

  2. 乳房皮肤有无“橘皮样”改变或凹陷(酒窝征)?

  3. 乳头近期是否出现内陷或歪斜?

2. 警惕“治不好的湿疹”

如果乳头、乳晕区域出现反复发作、久治不愈的湿疹样改变,尤其是单侧发病时,请不要只去皮肤科,务必前往乳腺专科就诊。医生通常会建议进行病理活检(取一小块组织化验),这是确诊湿疹样乳腺癌的“金标准”。

3. 定期进行影像学检查

  • 35-40岁:建议完成一次乳腺X线(钼靶)或超声作为基础资料。

  • 40岁以上:建议每年进行一次乳腺超声及钼靶检查。

  • 高危人群(有乳腺癌家族史、基因突变、既往乳腺疾病史等):建议在医生指导下提前开始筛查,并缩短筛查间隔。

图片



张阿姨目前正在医院接受规范治疗

虽然错过了最佳干预期

但所幸尚未发生远处转移

她的病例再次印证了一个道理

身体的异常信号,没有“小事”

在这个快节奏的时代

许多女性忙于家庭与事业

往往忽略了自己身体发出的细微警报

“不痛不痒”不代表“平安无事”

“反复发作”不代表“只是炎症”

昆山市中医医院甲状腺乳腺外科提醒您:

请珍视自己的身体

关注乳房发出的每一个信号

发现异常,及时就医

早发现、早诊断、早治疗

是战胜乳腺癌最有力的武器

图片


本期作者


图片

顾芳英 甲状腺乳腺外科主治医师

医学硕士,江苏省中西医结合学会乳腺专业委员会青年委员。擅长乳腺疾病的诊治及甲状腺常见疾病的诊治,主攻乳腺癌的早期诊断及个体化治疗。


审核专家


图片

顾建伟 甲状腺乳腺外科主任

主任医师,中华中医药学会乳腺病分会委员,江苏省中西医结合委员会普外科专业委员会委员。擅长甲状腺及乳腺各种疾病的诊治,尤其是甲状腺恶性肿瘤、乳腺恶性肿瘤的早期诊断及规范化治疗精于甲状腺、乳腺肿瘤的各种手术术式。门诊时间:每周三上午(乳腺外科)、周四全天(甲状腺外科)



来源:昆山市中医医院



本帖评分记录
鱼走海哭 昆币 +1 -来自昆山论坛APP 昨天 16:37
1条评分昆币+1
爆料有奖!关注昆山论坛抖音号,抖音搜索“昆山论坛”,或搜索抖音号:ksbbs
 
快速回复
限76 字节
如果您提交过一次失败了,可以用”恢复数据”来恢复帖子内容
 
上一个 下一个