夜间模式
  • 4947阅读
  • 3回复

[昆山要闻]新突破!昆山市中医院成功完成全国县域首例 [复制链接]

上一主题 下一主题
美女离线灰羽天使
发帖
2037
昆币
37672 枚
爆料
1
只看楼主 使用道具 电梯直达
楼主  发表于: 02-04 , 来自:江苏省0==


心脏,是人体循环的 “动力泵”,而主动脉瓣就是这台泵上的关键阀门。一旦这个阀门出现 “关不严” 的问题,血液就会反向流回心脏,引发重度主动脉瓣反流。

这种疾病在老年人群中高发,病情隐匿却凶险,晚期患者5年死亡率超 70%。对于高龄、合并多种基础病的患者来说,传统开胸手术风险极高,很多人因此陷入无术可做的困境。

近日,医院心血管科潘文主任团队成功为一名76岁的重症患者实施了全国县域首例使用专用反流瓣的经导管主动脉瓣置换(TAVI)手术。这不仅填补了县域医院在该领域的技术空白,更标志着医院在微创瓣膜病治疗领域已跻身国内先进行列,让县域百姓在家门口就能享受到前沿的医疗服务。



命悬一线

衰竭的心脏

患者王爷爷(化名)今年 76 岁,有高血压、脑出血病史,4天前因“胸闷、无法平卧、端坐呼吸”紧急入院。

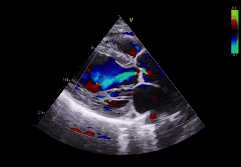
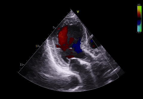
入院时,由于心脏不堪重负,他已出现严重心力衰竭、肺水肿,每一次呼吸都变得异常艰难,生命体征极不稳定。经心脏超声紧急检查,王爷爷被确诊为重度主动脉瓣反流。

更令人揪心的是,他的左心室射血分数(LVEF)仅为 27%,心脏正处于“**”状态,随时可能发生恶性心律失常甚至猝死。

▲术前超声

左心室射血分数 (LVEF):这是衡量心脏“泵血功能”的核心指标。正常人的数值通常在 50%-70%。


摆在医疗团队面前的,是一场与时间赛跑的生死考验。

一方面,患者高龄、心功能极差(LVEF 27%),且合并脑出血后遗症等多种基础病。如果采用传统的开胸换瓣手术(SAVR),不仅需要锯开胸骨,还要进行体外循环,创伤大、出血多、术后恢复慢,王爷爷的身体根本无法承受,手术风险极高。

另一方面,若是选择药物保守治疗,虽然能暂时缓解症状,但无法解决“瓣膜关不上”这个物理机械故障,病情必然会持续恶化,直至心脏彻底停跳。

怎么办?微创介入手术(TAVR)成了挽救王爷爷生命的唯一希望。




迎难而上

挑战介入治疗的“ 禁区 ”

面对复杂病情,潘文主任团队联合导管室、麻醉科、放射科、超声科等多学科专家迅速开展会诊。通过全面评估患者的瓣膜解剖结构、心功能状态及全身情况,最终决定为其实施经导管主动脉瓣置换术(TAVI),并选用全新的专用反流瓣。

虽然 TAVR(经导管主动脉瓣置换术)技术已相对成熟,但对于王爷爷这类“单纯性主动脉瓣反流”患者,手术难度却呈几何级数上升,曾一度被视为介入治疗的“禁区”。

为什么单纯反流的TAVR这么难?

这要从解剖结构说起:

  • 传统的 TAVR(针对狭窄):瓣膜由于病变产生了大量钙化,就像门框上长了“锈”,很粗糙,新植入的瓣膜很容易利用摩擦力锚定住。

  • 王爷爷的情况(针对反流):单纯反流的患者,瓣环通常没有钙化,非常光滑且扩张。这就好比要在“滑溜溜的玻璃门框”上强行固定一扇新门。

如果使用常规的 TAVR 瓣膜,极易出现“滑脱”“移位”,甚至造成手术失败、危及生命。

这种新瓣膜有何玄机?

不同于依靠钙化力支撑的传统瓣膜,这种专用瓣膜设计了独特的锚定装置。它能够像“抓手”一样,牢牢地主动夹住心脏原本的瓣叶,从而在光滑的瓣环上实现稳固的定位。

这不仅解决了“滑脱”的难题,更大大提高了手术的成功率和安全性。




重获新生

微创让心脏重现活力

手术在医院复合手术室进行,潘文主任团队沉着操作。穿刺、送入导管、跨越主动脉弓……凭借精湛的导丝操控技术,团队精准地将输送器送达预定位置。

定位、释放、锚定!

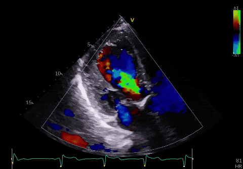
造影显示:人工瓣膜位置完美,工作状态良好。

▲术后超声


原本严重的主动脉瓣反流瞬间消失,心脏的血流动力学立刻恢复正常。整个手术仅用时1小时,患者全程生命体征平稳,无任何并发症。



什么是主动脉瓣反流?

有何危害?

关于主动脉瓣反流(AR)

主动脉瓣作为心脏与主动脉之间的“关键阀门”,其功能正常与否直接决定心脏泵血效率,关乎人体全身血液循环的正常运转。

一旦发生主动脉瓣反流,意味着心脏舒张期主动脉内的血液会反向流入左心室,导致心脏负荷异常增加。长期发展将引发一系列严重健康问题,给患者生命健康带来极大威胁。

流行病学现状:不容忽视的老年病

主动脉瓣反流在全球范围内发病率呈逐年上升趋势,尤其在老年人群中更为高发。

  • 发病率: 总体发生率约为 4.9%,中度至重度反流发生率约 0.5%。

  • 人群特征: 男性显著高于女性。

  • 危险因素: 随着人口老龄化,高血压、风湿性心脏病、感染性心内膜炎等因素导致患病群体持续扩大。


急行凶险,慢行隐匿

主动脉瓣反流的危害具有隐匿性和进行性特点,临床分为两种类型:

  1. 急性主动脉瓣反流:进展迅猛可在短时间内导致左心房压力骤升,引发肺淤血、肺水肿。

  • 典型症状: 端坐呼吸、咳粉红色泡沫痰、血压显著下降甚至发生心源性休克。

  • 若不及时救治,死亡率极高。

  1. 慢性主动脉瓣反流:长期侵蚀具有较长的无症状期,轻症患者可维持 20 年以上无明显不适。但这并不代表安全,随着反流量增大,心脏代偿机制逐渐失效。

典型症状: 心悸、心前区不适、头颈部强烈动脉搏动感。

后期导致左心室重构、心肌纤维化,进而引发顽固性心力衰竭、心律失常,严重时可导致猝死。

未经干预的中度以上患者,2年内死亡率 >10%;一旦出现心衰症状,5年死亡率 >70%。


次全国县域首例专用反流瓣 TAVI 手术的成功实施,不仅体现了医院心血管科团队高超的医疗技术水平和严谨的诊疗态度,更标志着医院在心脏瓣膜病治疗领域已达到先进水平。未来,医院将继续秉承 “以患者为中心” 的服务理念,持续关注国内外心血管疾病治疗的前沿技术,不断开展技术创新与学术探索,进一步提升科室诊疗水平与服务能力,让更多县域百姓在家门口就能享受到优质、高效、微创的医疗服务,守护区域群众的“心”健康。


本期作者


常成 心血管科主治医师

医学硕士,现任江苏省中西医结合学会活血化瘀专业委员会青年委员;昆山市中医医院胸痛中心协调员。有丰富的临床及科研经验,参与各级课题、GCP项目多项,发表论文数篇,尤其擅长冠心病、高血压、心脏瓣膜病的介入治疗技术。


审核专家


潘 文

主任医师 心血管科主任

硕士生导师,昆山市中医医院心脏中心主任,中国医药教育协会胸痛专业委员会委员;江苏省中西医结合学会心血管专业委员会委员;江苏省中医药学会心系疾病专业委员会委员;苏州中医药学会心血管专业委员会副主任委员;苏州市医学会心血管病学专业委员会委员;苏州市医学会胸痛专业委员会委员;昆山市医学会心血管病学专业委员会副主任委员;加拿大St. Michael's Hospital 访问学者。

擅长心血管内科常见病、多发病、疑难病的诊治,尤其是冠心病、高血压病介入治疗。

门诊时间:周二全天及周四下午。




徐海祥

主任医师 导管室副主任

昆山市心血管病学专业委员会委员兼秘书;昆山市心血管病学专业青年委员会副主任委员;苏州市络病专业委员会副主任委员;苏州市医学会心血管病学分会血脂代谢学组成员;苏州市医学会内分泌学分会代谢性心脑血管疾病学组委员;江苏省中医药学会高血压病专业委员会委员;中国医药教育协会胸痛专业委员会委员;近5年发表SCI、核心期刊发表论文6篇。

擅长心血管科常见病、疑难危重疾病的诊治;擅长冠心病、急性心肌梗死的介入治疗;年独立完成各类介入手术1000余例。

门诊时间:周一全天。




市中医院心血管科简介

昆山市中医医院心血管科为苏州市中医重点专科、昆山市重点专科,科室拥有床位60张(CCU 13张),配备心导管室、心功能室、心超室、心脏康复室及中医操作室。2024年心血管科门诊量7.8万人次,年出院患者超3200人次;开展各类心脏介入手术3000余台次,其中PCI 1000台次,急诊手术400余台次,起搏电生理约200台次,结构性心脏病约100台次。



来源:昆山市中医医院


本帖评分记录
人生漫步 昆币 +1 -来自昆山论坛APP 02-05
1条评分昆币+1
爆料有奖!关注昆山论坛抖音号,抖音搜索“昆山论坛”,或搜索抖音号:ksbbs
 
离线cesc
发帖
4471
昆币
6629 枚
沙发  发表于: 02-04 , 来自:上海市0==
,中医院多宣传有科技含量的东西,少卖一些三伏贴
爆料有奖!关注昆山论坛抖音号,抖音搜索“昆山论坛”,或搜索抖音号:ksbbs
 
帅哥离线卫星
发帖
2001
昆币
5949 枚
板凳  发表于: 02-04 , 来自:江苏省0==
爆料有奖!关注昆山论坛抖音号,抖音搜索“昆山论坛”,或搜索抖音号:ksbbs
 
离线wzh1965
发帖
2259
昆币
3208 枚
地板  发表于: 02-04 , 来自:江苏省0==
  
爆料有奖!关注昆山论坛抖音号,抖音搜索“昆山论坛”,或搜索抖音号:ksbbs
 
快速回复
限76 字节
如果您提交过一次失败了,可以用”恢复数据”来恢复帖子内容
 
上一个 下一个