夜间模式
  • 500阅读
  • 0回复

[热点新闻]糖尿病合并巨大子宫,手术风险高?微创破局! [复制链接]

上一主题 下一主题
美女离线灰羽天使
发帖
2078
昆币
37810 枚
爆料
1
只看楼主 使用道具 电梯直达
楼主  发表于: 6小时前 , 来自:江苏省0==

近日,昆山市中医医院妇科成功为一位患有1型糖尿病、子宫如孕5月大小的患者实施了腹腔镜下全子宫切除术。

这台手术的难点,不仅在于“巨大子宫微创做”的技术挑战,更在于患者合并糖尿病,围手术期对血糖控制、感染防控和切口愈合提出了更高要求。

面对这一复杂情况,医院通过微创切口+中西医结合加速康复模式,在充分评估、严密准备的基础上,顺利完成手术,患者术后恢复良好,小切口愈合满意。

图片



巨大子宫合并糖尿病

手术面临双重考验

图片

45岁的陈女士在一次输尿管结石诊治过程中,被发现患有巨大子宫肌瘤,腹部膨隆如怀孕5个月。更棘手的是,患者有1型糖尿病10余年,每天预混胰岛素用量达60单位,血糖控制仍欠佳,餐后血糖时达11-12mmol/l左右。

图片

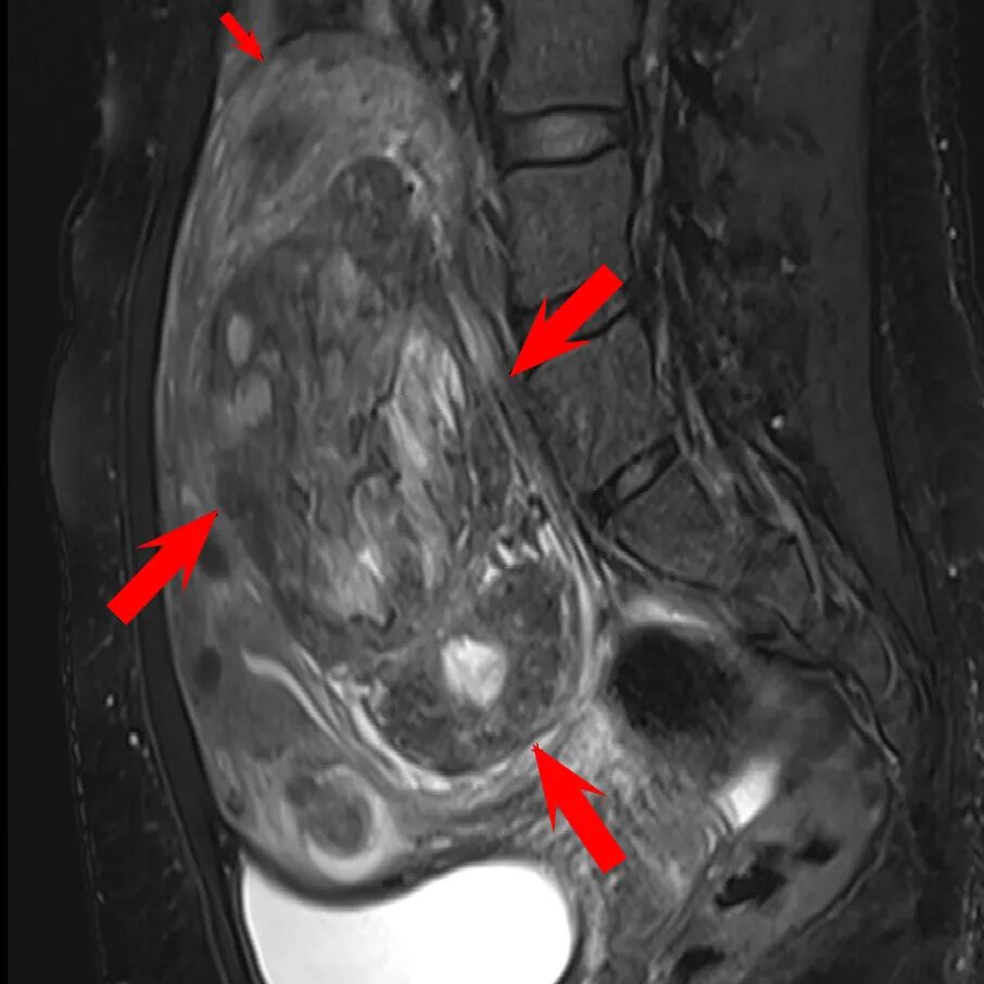
▲患者磁共振影像

此前,陈女士曾辗转多地求诊,得到的建议多为开腹手术。但对于糖尿病患者而言,较大的手术切口意味着更高的感染风险,也更容易出现脂肪液化、切口愈合不良等问题。这让她对手术顾虑重重,焦虑明显。

昆山市中医医院妇科主任周琴介绍,对糖尿病患者而言,手术本身就是一种应激状态,而较大的切口会进一步增加围手术期管理难度。

因此,这类患者的治疗难点,不仅在于解决巨大子宫本身的问题,更在于如何在确保安全的前提下,尽可能减少创伤,降低切口相关风险。

1型糖尿病:由于体内胰岛素分泌明显不足引起的疾病,患者通常需要长期依赖胰岛素治疗。
脂肪液化:术后切口周围脂肪组织发生坏死、渗出,影响伤口愈合的一种情况。




严密评估精准操作

腹腔镜下完成高难度手术

图片

经过严格的术前评估和多学科会诊(MDT),由妇科、内分泌科、麻醉科组成的团队为陈女士制定了周密的手术方案。

其中,首要任务就是“控糖”。在内分泌科指导下,医疗团队对患者血糖进行了系统管理,使其稳定在相对安全的手术范围内。

图片

手术中,医生在陈女士腹部建立了4个约0.5—1厘米的小切口,借助高清腹腔镜的放大视野,在巨大子宫占据的狭窄盆腔内进行精细操作。

图片

术中,团队先行阻断子宫主要供血血管,随后将重达1500克的巨大子宫及肌瘤完整切除,并经**微小切口取出,整个过程出血量仅约50毫升。

图片

周琴主任介绍,腹腔镜手术在这类患者中的优势较为突出。与传统开腹手术相比,腹腔镜切口更小,对腹壁血供影响更小,组织牵拉和创伤也更轻,从而更有利于切口一期愈合对合并糖尿病的患者来说,切口越小,不仅意味着创伤更轻,也意味着术后感染防控和切口管理更具优势。




中西医结合加速康复

为术后恢复按下“加速键”

图片

手术顺利完成后,术后康复同样是一场硬仗。针对患者合并糖尿病这一情况,医院为陈女士启动了中西医结合加速康复方案,从营养支持、活动管理、血糖监测到中医特色干预进行全程管理。

图片

x

在西医精准管理方面,患者麻醉苏醒后即可饮水,术后6小时进流食,24小时内下床活动。同时,内分泌科全程监测血糖变化,并精细调整胰岛素用量,尽可能保持血糖平稳。

图片

在中医特色干预方面,团队术后即予穴位贴敷、灸法等中医适宜技术,以促进胃肠功能恢复,减少腹胀不适。同时,在微创切口外敷生肌红玉膏,进一步改善局部血运,促进切口愈合。

图片


术后第5天,陈女士4个小切口愈合良好,顺利出院。她表示,术后当晚就能翻身,第二天便可下床活动,腹部小切口疼痛轻,整体恢复情况较为顺利。中西医结合加速康复的意义,不只是恢复更快,更在于帮助患者恢复得更平稳、更有序。




微创手术并非人人适用

安全始终是前提

图片

需要强调的是,这例手术的成功,体现了多学科协作与微创技术的优势,但并不意味着所有类似患者都适合直接进行腹腔镜手术。

对于巨大子宫合并糖尿病等复杂情况,是否能够实施微创手术,仍需结合患者基础疾病、血糖控制水平、病变范围及术中实际情况进行综合判断。

周琴主任提醒,此类手术有明确前提。首先,术前血糖必须达标,需经内分泌科系统评估,血糖控制稳定是手术安全的第一道防线。其次,手术团队需做好充分准备,一旦术中发现严重粘连或意外出血,应及时采取相应处理方式。再次,患者最终恢复效果还与其自身血糖控制水平、营养状况等密切相关。

微创是技术选择,安全才是根本前提。

真正适合患者的方案,才是更好的方案。

图片

本次手术的成功开展,标志着医院运用中西医结合微创技术诊治复杂合并症患者的能力已达到区域先进水平,也为合并基础疾病、对手术存在顾虑的患者提供了更安全、更优质的治疗选择。

医学的进步,不只体现在手术台上的精准操作,也体现在术前评估、围手术期管理和术后康复的每一个细节之中。把复杂问题处理得更稳妥,把治疗过程安排得更细致,才能真正让患者从中受益。

图片


本期作者


图片

徐佳一 妇科副主任中医师

医学硕士,昆山市中医药学会妇科专业委员会委员。擅长:中西医结合诊治月经病、痛经、围绝经期综合征、生殖系统炎症及宫、腹腔镜微创手术治疗子宫肌瘤、卵巢囊肿、子宫内膜息肉、异位妊娠等。门诊时间:周三,周日全天。


审核专家


图片

周琴 妇科主任

主任医师,硕士生导师。曾荣获昆山市“三八红旗手”、昆山市“五一巾帼标兵”。兼任中国妇幼保健协会微创专业委员会宫腔镜学组委员、江苏省中医药学会不孕不育专业委员会常务委员、江苏省中西医结合学会妇产科专业委员会委员、江苏省中西医结合学会生殖医学专业委员会委员、苏州市医学会妇产科专业委员会副主任委员、苏州市医学会妇产科分会妇科内分泌学组组长、苏州市中西医结合学会妇科专业委员会副主任委员、苏州市中西医结合学会生殖专业委员会副主任委员、苏州市医学会妇科肿瘤专业委员会委员、苏州市中医学会中医妇科专业委员会常务委员、昆山市医学会妇产科专业委员会副主任委员、昆山市中医药学会妇科专业委员会主任委员。擅长:妇科良恶性肿瘤宫腹腔镜微创手术、女性盆底器官脱垂手术治疗和妇科内分泌疾病诊治。门诊时间:周四全天。




来源:昆山市中医医院


爆料有奖!关注昆山论坛抖音号,抖音搜索“昆山论坛”,或搜索抖音号:ksbbs
 
快速回复
限76 字节
如果您提交过一次失败了,可以用”恢复数据”来恢复帖子内容
 
上一个 下一个